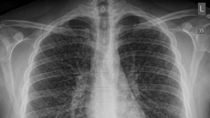
Médicos detectan el primer caso de una enfermedad pulmonar potencialmente mortal relacionada con el vapeo