El desgraciado accidente tuvo lugar en el Reino Unido hace unos días y se ha publicado en Urology Case Reports. Un niño de 15 años acudió a urgencias de un hospital local aquejado de un problema inusual: se había insertado un cable USB en su pene en un intento muy peligroso por medir su longitud.
Si la escena es difícil de imaginar, los intentos del joven por sacarse el cable mientras perdía sangre en la orina agravaron aún más la situación. Según escribieron los doctores en el estudio del caso:
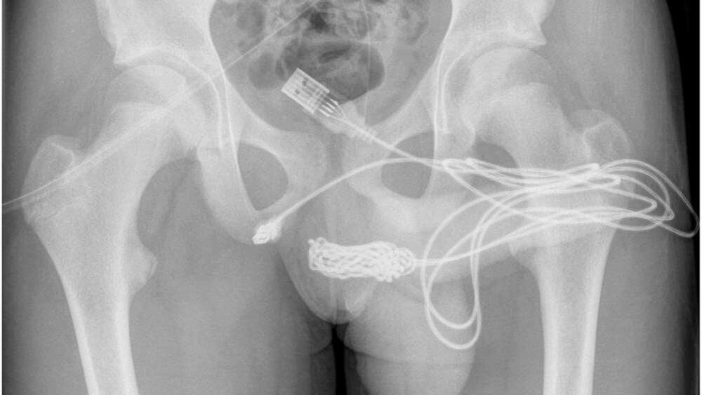
Se encontró que los dos puertos distales del cable USB sobresalían del meato uretral externo, mientras que la parte media del cable anudado permanecía dentro de la uretra. El paciente era un adolescente sano y por lo demás en forma, sin antecedentes de trastornos de salud mental.
Al parecer, cuando el joven llegó con su madre al hospital no pudieron explicar con claridad lo que había ocurrido. Cuando la madre dejó la habitación confesó a los médicos que su hijo se había insertado el cable en la uretra “para medir la longitud de su pene”, utilizando un cable en lugar de una regla externa por curiosidad sexual.

Como explican en el caso, el equipo intentó extraer el cable a través de una cistoscopia rígida, es decir, empujando una varilla de metal por el pene en un intento de extraer el cable, y una uretrotomía óptica, ensanchando quirúrgicamente la uretra.
En ambos intentos fallaron debido al nudo, el mismo que se ve en la radiografía. Las imágenes de la situación del cable mostraron que la cirugía era necesaria. Según los autores:
Se hizo una incisión longitudinal penoescrotal sobre el cuerpo extraño palpable y se llevó a cabo una disección cuidadosa a través de los tejidos más profundos, dividiendo el músculo bulboesponjoso. Ambos extremos del alambre se sacaron con éxito a través del meato uretral externo.
Finalmente, el joven se recuperó bien de la cirugía y fue dado de alta poco después, aunque necesitará seguimiento de los médicos. [Urology Case Reports vía IFLScience]