Funcionarios de salud de México y la OMS han reportado el primer caso humano conocido y la muerte relacionados con la influenza aviar H5N2. No se han detectado más casos todavía.
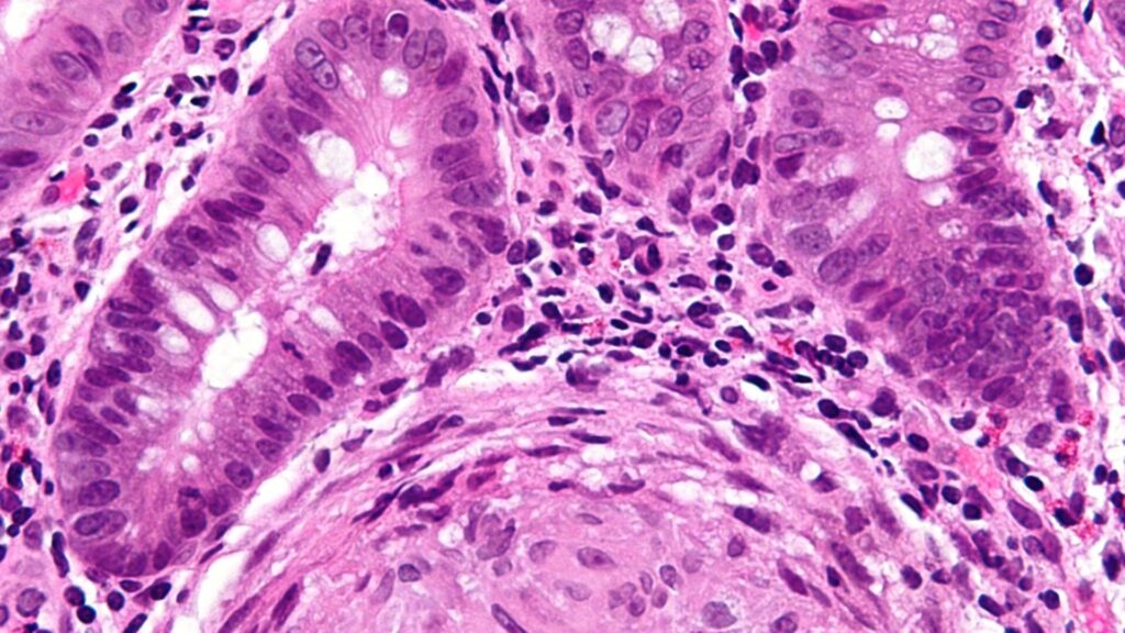
Investigadores en el Reino Unido han encontrado evidencia de una vía genética específica que puede hacer que las células inmunes activen el cuerpo y ataquen al tripas de aquellos con EII.
Los investigadores están advirtiendo a los médicos y al público sobre dos hongos emergentes que son más extraños y más resistentes que la típica infección por tiña.
Una nueva investigación sugiere que la combinación de alcohol y vuelos de larga distancia puede reducir el oxígeno en sangre y aumentar nuestro ritmo cardíaco mientras dormimos.
Llamativas en color y tamaño, sin embargo, las arañas Joro no son un peligro para los humanos.
Una nueva investigación muestra que el gel NES/T puede suprimir eficazmente la fertilidad masculina en tan solo cuatro semanas.
Un pequeño estudio de prueba de concepto ha encontrado evidencia de que la semaglutida puede mejorar la sensibilidad gustativa de las personas, particularmente al dulzor.
A pesar de que algunas agencias policiales lo han dicho durante años, no existe evidencia sólida de que el simple hecho de tocar o estar cerca del fentanilo pueda ser mortal.
Conocido por matar personas al día siguiente del inicio de los síntomas, los verdaderos orígenes de los “sudores” que plagaron el siglo XVI siguen siendo desconocidos para este día.
Una nueva investigación encuentra que los cerdos salvajes más pesados y resistentes al frío de Canadá tienen un “alto potencial” para trasladarse a las praderas del norte de Canadá y Estados Unidos
La evidencia de un cráneo de 4.000 años de antigüedad sugiere que los antiguos médicos egipcios eran lo suficientemente hábiles para intentar extirpar quirúrgicamente los tumores de sus pacientes.
En un nuevo informe de este mes, los científicos de los CDC detallan cómo la familia detectó un raro brote de triquinelosis relacionada con los osos que envió a varios a la hospitalario.
Una nueva investigación es la más reciente en vincular el uso de Ozempic, Wegovy y otros medicamentos GLP-1 con un mayor riesgo de gastroparesia. lo que sabemos hasta ahora.
Los médicos en Portugal describen cómo el gato probablemente transmitió un germen que generalmente solo causa inflamación de los ganglios linfáticos y fiebre.
No está claro si la presencia de plástico podría explicar una disminución global en el recuento de espermatozoides.
Una nueva investigación encontró un vínculo entre una mayor exposición al fluoruro en mujeres embarazadas y un mayor riesgo de problemas neuroconductuales en sus hijos a los 3 años.
Los microbiólogos del Reino Unido acaban de crear cerveza utilizando levadura extraída de las entrañas de las abejas asesinas.
A pesar de la infinidad de afirmaciones de salud que se le atribuyen, lo único en lo que el agua alcalina es claramente mejor que el H2O normal es en ser más caro.
Una nueva investigación sugiere que el ejercicio de resistencia puede hacernos mucho mejores en almacenar y luego quemar grasas saturadas.
Los científicos han encontrado cepas de H5N1 altamente patógeno en un pequeño número de aves silvestres de Nueva York.