-
CienciaAcude a urgencias por un fuerte dolor de estómago y le encuentran los restos de su gemelo parcialmente formado
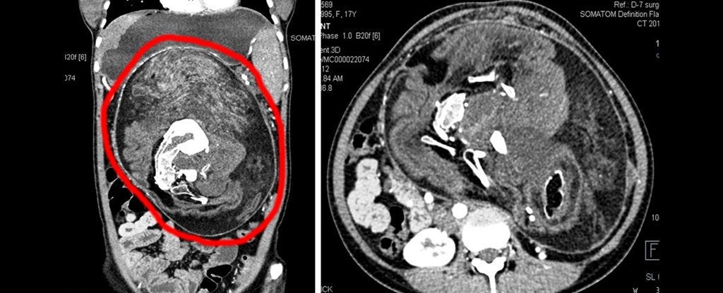
Los médicos no daban crédito a los resultados de los primeros análisis. Cuando una joven de 17 años en Patna, India, llegó a urgencias aquejada de un fuerte dolor en el estómago que había crecido hasta distorsionar su cavidad abdominal, los expertos parecían tenerlo claro: debía ser un tumor. Sin embargo, aquella masa tenía dientes.…
Por Miguel Jorge -
Ciencia
Nace en Colombia una niña con su gemelo dentro de ella
Itzamara nació por cesárea a las 37 semanas el 22 de febrero con un peso de 3.2 kilogramos. Sin embargo, una pequeña parte de ese peso no era de ella. Su gemela se encontraba en el interior de la pequeña. Un asombroso y extraño caso de lo que se conoce en medicina como fetus-in-fetu. Al…
Por Miguel Jorge -
NoticiasResuelven el rompecabezas de la pequeña momia del antiguo Egipto: no era un ave, era humana
Cuando la pequeña momia se descubrió, los investigadores dieron por hecho que aquella pieza de hace 2.100 años del antiguo Egipto contenía los restos de un ave. Una teoría con mucho sentido si tenemos en cuenta las decoraciones con temática de halcón y el tamaño de la momia. Resulta que no, que era humana. Al…
Por Miguel Jorge