
Los médicos no daban crédito a los resultados de los primeros análisis. Cuando una joven de 17 años en Patna, India, llegó a urgencias aquejada de un fuerte dolor en el estómago que había crecido hasta distorsionar su cavidad abdominal, los expertos parecían tenerlo claro: debía ser un tumor. Sin embargo, aquella masa tenía dientes.
Dientes, cabellos, grasa e incluso cartílago. La masa que crecía en el abdomen hacía pensar que podría tratarse de un tumor que puede llegar a incluir este tipo de tejido: un teratoma. Durante los últimos cinco años la chica había notado un bulto creciendo en su abdomen. A veces le causaba dolor, y a veces, cuando comía, se sentía llena muy rápido.
Los posteriores análisis revelaron algo mucho más extraño. La joven había alojado en su cuerpo los restos de su propio gemelo, “absorto mientras ambos estaban todavía en el útero”, han explicado los doctores.
Se trata de una afección rara conocida como feto in foetu (FIF), y generalmente no se ve en personas mayores de 15 años. Según explican en el informe del caso publicado:
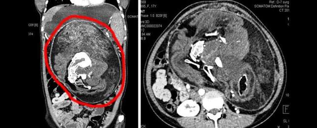
Una tomografía computarizada (CECT) con contraste abdominal mostró una masa bien definida que medía aproximadamente 25 por 23 por 15 centímetros, que se extiende desde el epigastrio [justo por encima del estómago] hasta la pelvis superior.
Mostraba áreas de densidad de grasa, tejido blando y múltiples componentes de densidad calcificada de varios tamaños y formas que se asemejan a la forma de vértebras, costillas y huesos largos. Esta masa estaba causando el desplazamiento y la compresión de las vísceras abdominales adyacentes.

Una vez detectada la afección, los doctores programaron una cirugía para extraer la masa. Así fue como retiraron del abdomen algo parecido a los restos de un humano parcialmente formado. Tal y como explican:
Una masa hecha de material con pelo, múltiples dientes y estructuras que se asemejan a las yemas de las extremidades, que incluye grasa, cartílago y hueso, así como tejido neural, intestinal y de la piel.
Cuentan los expertos que una diferencia clave entre FIF y teratoma es que los criterios de diagnóstico para el primero incluyen un eje vertebral con formación de órganos, mientras que el segundo es una masa desorganizada de células pluripotentes. Aunque podría ser posible un tipo de teratoma más desarrollado, dado que el parásito tenía huesos y costillas espinales, el diagnóstico oficial fue de feto in fetu.
Finalmente la cirugía fue un éxito, con la mayor parte de la masa eliminada (alguna se había adherido demasiado cerca de los vasos sanguíneos del tracto gastrointestinal). La paciente se encuentra bien, aunque tendrá que hacerse chequeos anuales para asegurarse de que el tejido restante no se haya vuelto canceroso. [BMJ Case Reports vía ScienceAlert]