Saltar al contenido
Ciencia

Así se ve un cerebro destruido por el sarampión

Un nuevo informe ilustra el fatal impacto de la panencefalitis esclerosante subaguda, una rara complicación del sarampión
Por Ed Cara Traducido por

Tiempo de lectura 3 minutos

Comentarios (0)

En casi todos los casos el sarampión es una enfermedad muy molesta, pero curable. En contadas ocasiones, sin embargo, puede causar una afección cerebral que es devastadora y mortal, y que se desarrolla años después.

El informe médico en el New England Journal of Medicine destaca un caso en el informe que se publicó el último fin de semana. Describen que un niño de 7 años contrajo una forma demorada de encefalitis – inflamación del cerebro – que le causó la muerte y que comenzó cinco años después de que enfermara de sarampión. Aunque son casos increíblemente infrecuentes, hay niños que ya sufrieron otros tipos de encefalitis durante los brotes actuales de sarampión en EE.UU. 

El sarampión y el cerebro

La encefalitis por sarampión puede darse de varias maneras.

La encefalitis primaria por sarampión tiene su causa directa en el virus que invade el cerebro durante la infección. La encefalitis aguda postinfección  tiene como disparador una respuesta inmunológica dañina que aparece poco cuando el paciente se recupera del sarampión, hasta un mes después. Estas dos formas de encefalitis pueden aparecer en uno de cada 1.000 niños que enferman de sarampión.

Hay un tercer tipo, llamado panencefalitis esclerosante subaguda (SSPE en inglés), que tiene su causa en la infección con una cepa mutada del virus del sarampión que permanece en el cuerpo. Va destruyendo lentamente el cerebro, pero los síntomas no se hacen evidentes sino hasta entre 6 y 8 años después. A diferencia de las otras formas de encefalitis por sarampión, esta es fatal en el 100% de los casos (ha habido informes aislados de una terapia intensa con drogas que demora el avance, pero eventualmente el paciente muere también).

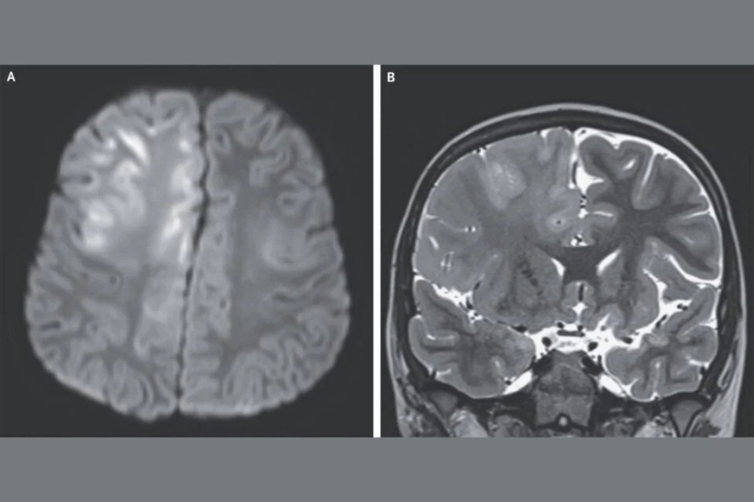
En este caso el niño de 7 años consultó al médico después de tres meses de sufrir convulsiones y deterioro cognitivo. Ya no podía hablar, y en la resonancia magnética (las imágenes que hay arriba) se observó que el cerebro estaba extensamente dañado. El niño había enfermado de sarampión cuando tenía 7 meses y estaba viviendo en Afganistán, donde el virus es endémico. El análisis del líquido obtenido en la punción lumbar reveló altos niveles de anticuerpos contra el virus del sarampión. Eso, aparejado con la historia de haber enfermado de sarampión, más los resultados de un electroencefalograma, hizo que los médicos le diagnosticaran panencefalitis esclerosante subaguda.

“A los doce meses de los primeros síntomas el paciente murió”, escribieron los autores del trabajo.

Una lección trágica

La panencefalitis por sarampión es más infrecuente que los otros tipos de encefalitis por sarampión, y afecta a uno de cada 25.000 niños que enfermaron de sarampión, aunque las probabilidades son mayores si enfermaron de sarampión antes de cumplir un año (un caso entre 5.550). Por su naturaleza, llevará años saber si alguno de los casos de sarampión recientes en EE.UU. algún día se verá afectado por esta panencefalitis.

Aparte de eso, ya estamos empezando a ver los serios impactos de los brotes de sarampión, que ya suman más de 3.000 casos desde inicios de 2025. Este mes los funcionarios de la salud de Carolina del Sur informaron que al menos 19 personas debieron ser hospitalizadas por graves complicaciones del sarampión, incluyendo a varios niños con encefalitis. Desde el año pasado se han tenido que hospitalizar cientos de personas, y tres pacientes, entre los que se contaban dos niños, murieron a causa del sarampión.

Estas hospitalizaciones y muertes prácticamente no tendrían que haber ocurrido. La vacuna contra el sarampión es altamente efectiva, y aunque el que está vacunado contraiga luego la enfermedad, será en forma mucho más leve.

“La forma de prevenir el sarampión y sus consecuencias neurológicas es la vacuna”, escribieron los autores.

Gracias a la vacunación EE.UU. se declaró país libre de sarampión en el año 2000, y aunque la tasa de vacunación sigue siendo alta (más del 90%), es probable que ya no se cuente entre los países libres de sarampión, y si la enfermedad se vuelve endémica, habrá casos trágicos como el que detallan en el trabajo publicado.

Compartir esta historia

Artículos relacionados