Seguir Lucas Handley
Los éxitos paralelos de "Godzilla Minus One" y "The Boy and the Heron" en los Oscar parecen haber motivado la alianza entre Toho Animation y Gkids.
El payaso del momento en el cine también revela cuál fue la escena en “Terrifier 3” que literalmente le hizo vomitar.
Ahora puedes conseguir una Xbox de 1TB sin lector de discos por un pequeño descuento, pero incluso con un rediseño interno, no parece haber mucho para atraer a nuevos compradores.
Una escuela de negocios está utilizando el alarmismo sobre la IA, dinero de Arabia Saudita y una polvorienta metáfora de la Guerra Fría para entusiasmar a la gente sobre el futuro de la inteligencia artificial.
La película de terror basada en la creación de Stephen King y producida por James Wan, llega a los cines en febrero.
Es el inicio del gran atlas cósmico en 3D, gracias al telescopio de materia oscura europeo y los datos de 260 observaciones.
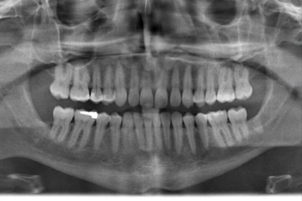
Algunos dentistas están cuestionando el uso excesivo de radiografías dentales, una práctica que puede exponer a los pacientes a radiación innecesaria y generar costos adicionales.
El USDA ha publicado una lista de productos de pollo retirados por temores de listeria, después de un retiro inicial de 10 millones de libras el 9 de octubre.
El perro de rescate de Gunn, Ozu, ayudó a dar forma a la representación de Krypto el Superperro en el lanzamiento de DC Studios del próximo verano.
La actualización de Android 15 de Google trae Gemini Live a los Pixel Buds anteriores y nuevas características para los Pixel 6 y posteriores.
Una pareja de Massachusetts demanda a la escuela secundaria de su hijo diciendo que intentaron afectar su futuro al sancionarlo y darle una baja calificación por una tarea que hizo usando IA generativa.
También podrás reproducir video en incrementos de 0,05 y agregar thumbnails a tus playlists.
Un equipo de investigadores ha encontrado vida macroscópica bajo el lecho marino del océano profundo, uno de los entornos más extremos de la Tierra.
El popular mockumentary de vampiros, What We Do in the Shadows, está por finalizar. La sexta y última temporada se estrena el 21 de octubre en FX. Paul Simms, escritor y productor ejecutivo, compartió detalles sobre lo que podemos esperar.
El pequeño iPad Mini, que sigue siendo apenas más grande que un iPhone, ahora cuenta con un chip A17 Pro y soporte para el Apple Pencil Pro.
Después de que dos personas en la multitud se desmayaran, Trump decidió convertir su último mitin en un "festival de música".
Mientras tanto, un veterano de “Star Wars”, “DCU”, “The Thing”, “Death Proof y Final Destination” se une al remake de “La mano que mece la cuna”.
Google Shopping está tomando información de una variedad de blogs populares sobre compras y ofertas para sugerirte qué freidora de aire comprar.
Un nuevo fraude ha emergido, utilizando inteligencia artificial (IA) para generar llamadas falsas que suplantan al servicio técnico de Google. Estos ataques buscan apoderarse de cuentas de Gmail, y aunque las comunicaciones parecen legítimas, esconden un esquema peligroso.
Durante la construcción de un rascacielos en Miami, se descubrieron restos arqueológicos de más de 7.000 años de antigüedad. Este hallazgo ha desatado un debate sobre la preservación del patrimonio histórico y el avance del desarrollo urbano.