A Johnson no le faltan proyectos, pero estaría como loco de regresar a la franquicia de Star Wars
El tribunal federal acusó a la Marina de los EE. UU. de pagar miles de dólares a una empresa de software por infracción de derechos de autor
El gato naranja atigrado pertenecía al compañero de piso del pasajero y fue devuelto sano y salvo a casa.
El animal antiguo puede indicar una nueva historia en la sociopolítica mesoamericana.
Microsoft habló de la mayor calidad de los juegos de PlayStation en una investigación del Reino Unido por su compra de Activision Blizzard
Los informes dicen que el personal de la fábrica de iPhone ha sido golpeado y detenido después de protestar por restricciones de covid y el salario
El juego de acción y disparos de Netflix será un juego "Triple A", y estará a cargo del estudio de uno de los productores de Overwatch
Resultados sobresalientes y fácil de usar no son dos frases que se vean juntas muy a menudo en impresión 3D, y menos aún si hablamos de impresoras de resina.
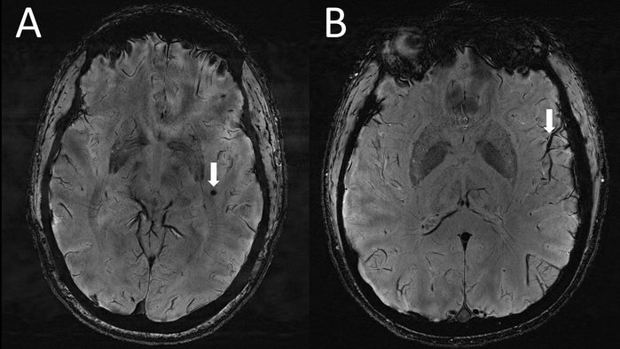
Un grupo de investigadores ha estudiado a personas que sufren migrañas mediante resonancias magnéticas de ultra resolución para entender mejor por qué suceden
Hyperkin's Xenon es una réplica con licencia oficial del mando de la 360, con algunas actualizaciones modernas
El nuevo Honor Magic VS mejora ligeramente a su predecesor y saca pecho de su durabilidad
Se trata del faisán de nuca negra, un tipo de paloma grande que vive en una sola isla
Podrás viajar en el tiempo y ver desde las galaxias más recientes hasta las fuentes de luz más antiguas
Un vídeo en blanco y negro de una cámara CCTV mostraba el extraño comportamiento de un rebaño de ovejas
WASP-39b es un Saturno Caliente con algunas sustancias realmente nocivas.
El patrimonio neto del multimillonario ha disminuido drásticamente este año en medio de su compra de Twitter y la caída en picado de las acciones de Tesla
¿En serio? ¿USB 2.0 a estas alturas del partido, Apple?
Los datos de búsqueda de Google muestran que hay mucha gente confundido con el logo de Kia
Así se ven 4.000 toneladas de empuje, durante el primer lanzamiento del enorme Sistema de lanzamiento espacial de la NASA
Tiene que convertirse en "la tercera o cuarta película con mayor recaudación en la historia" para cubrir gastos