Los virus suelen considerarse entidades simples: pequeñas cápsulas de material genético que dependen completamente de las células para reproducirse. Sin embargo, algunos descubrimientos recientes están desdibujando esa imagen.
En un pantano de Japón, un grupo de investigadores ha identificado un virus gigante que no solo desafía las dimensiones habituales de estos organismos microscópicos, sino que también podría aportar pistas sobre uno de los mayores enigmas de la biología: el origen de las células complejas.
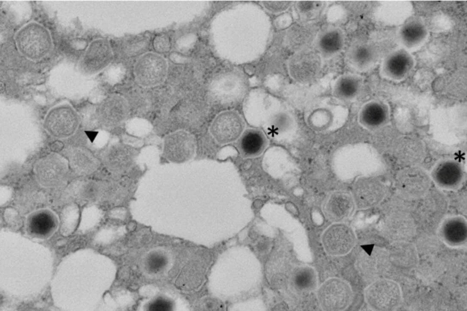
Un virus mucho más grande de lo habitual
El microorganismo, bautizado como virus Ushiku, fue descubierto en el pantano de Ushiku, en la prefectura de Ibaraki. A diferencia de la mayoría de los virus, que solo pueden observarse con microscopios electrónicos, este pertenece a la categoría de los virus gigantes, un grupo de patógenos lo suficientemente grandes como para detectarse incluso con microscopios ópticos convencionales.
Esa diferencia de tamaño no es solo una curiosidad visual. También refleja una complejidad genética inusual.
El genoma del virus Ushiku contiene más de 666.000 pares de bases y al menos 784 genes, una cifra extraordinaria si se compara con virus comunes como el de la gripe, que posee apenas ocho genes. Algunos virus gigantes incluso superan los 2.000 genes, lo que ha llevado a muchos científicos a reconsiderar el lugar que ocupan en el árbol de la vida.
Genes que la ciencia nunca había visto

Uno de los aspectos más sorprendentes del Ushiku es su composición genética. Cerca del 58 % de sus genes no se parecen a los de ningún organismo conocido en las bases de datos científicas. Estos llamados “genes huérfanos” representan un territorio prácticamente inexplorado de la biología.
El resto del genoma muestra similitudes parciales con otros virus gigantes. Una parte considerable de estos genes se relaciona con el clandestinovirus, un virus gigante descubierto en Francia en 2021. Este patrón sugiere que el Ushiku pertenece a una familia evolutiva de virus gigantes aún poco comprendida.
Un virus que altera profundamente a su huésped
El virus Ushiku infecta a Vermamoeba, una ameba unicelular que habita en aguas estancadas y suelos húmedos. Este tipo de microorganismos desempeña un papel importante en los ecosistemas, ya que participa en la descomposición de materia orgánica.
La infección provoca un efecto llamativo. Aproximadamente 60 horas después de la entrada del virus, la célula huésped puede duplicar su tamaño e incluso multiplicarlo varias veces en casos extremos. Este comportamiento contrasta con el de otros virus gigantes conocidos, como el Mimivirus o el virus de Marsella, que suelen destruir rápidamente a la célula que infectan.
Una fábrica viral dentro de la célula
Otro rasgo peculiar del Ushiku es su relación con el núcleo celular. En muchas infecciones virales, el virus depende del núcleo de la célula para replicarse. En este caso, los investigadores observaron que el Ushiku puede destruir la membrana nuclear y establecer lo que se conoce como una “fábrica viral” en el citoplasma.
Allí, el virus utiliza enzimas propias para multiplicar su material genético y producir nuevas partículas virales. Esta estrategia lo sitúa en una posición intermedia entre virus que dependen completamente del núcleo celular y aquellos que pueden replicarse sin él.
Una posible pista sobre el origen de las células complejas

El descubrimiento del Ushiku también revive una hipótesis evolutiva planteada hace más de dos décadas. Según esta idea, algunos virus gigantes podrían haber desempeñado un papel en el origen del núcleo de las células eucariotas, el compartimento que contiene el ADN en organismos como animales, plantas y hongos.
La teoría propone que un virus de ADN habría infectado a un ancestro de las arqueas —microorganismos primitivos— y que esa interacción habría terminado dando lugar al núcleo celular moderno.
Aunque la hipótesis sigue siendo objeto de debate, los virus gigantes ofrecen pistas interesantes porque combinan características propias de los virus con rasgos que recuerdan a células primitivas.
Un ecosistema microscópico aún por descubrir
El virus Ushiku es el primero de su tipo descubierto infectando Vermamoeba en agua dulce japonesa, pero forma parte de un grupo más amplio de virus gigantes que se ha ido ampliando rápidamente en los últimos años.
Entre ellos destacan descubrimientos como Medusavirus y Medusavirus stenus, identificados también por el equipo del investigador Masaharu Takemura. Cada nuevo hallazgo revela lo poco que todavía sabemos sobre la diversidad viral del planeta.
En muchos sentidos, los virus gigantes están obligando a los científicos a reconsiderar las fronteras entre virus y células, y a explorar nuevas hipótesis sobre cómo evolucionó la vida en la Tierra. Y en un lugar tan inesperado como un pantano japonés, un microorganismo casi invisible podría estar guardando pistas sobre los primeros capítulos de esa historia.