Que tu cuerpo se convierta en lo más parecido a una fábrica de cerveza de forma aleatoria puede parecer divertido para algunos, pero en la realidad es una auténtica pesadilla. El reciente caso de un hombre de 46 años da fe de ello. Y no había tomado ni una sola gota de alcohol.
Para entender el extraño caso publicado este fin de semana en New Scientist hay que remontarse unos años. Un hombre de 46 años de Estados Unidos aparentemente sano comenzó a experimentar confusión mental, mareos y pérdida de memoria en 2011 hasta el punto que tuvo que renunciar a su trabajo.
Los problemas habían aparecido unos meses antes, justo después de completar un ciclo de antibióticos por una lesión en el pulgar. El hombre visitó a varios médicos, pero ninguno pudo resolver lo que estaba mal. Un psiquiatra le recetó antidepresivos en 2014, pero tampoco ayudó demasiado.
Unos meses después apareció la primera pista. El hombre sufre un accidente de tráfico y lo detienen. Aparentemente estaba ebrio, pero se negó a una prueba de alcoholemia y fue hospitalizado. Las pruebas en el centro mostraron que tenía un nivel de alcohol en sangre de 200 mg / dL, equivalente a haber bebido aproximadamente 10 bebidas alcohólicas, y suficiente para inducir a confusión, desorientación, deterioro del equilibrio y dificultad para hablar.

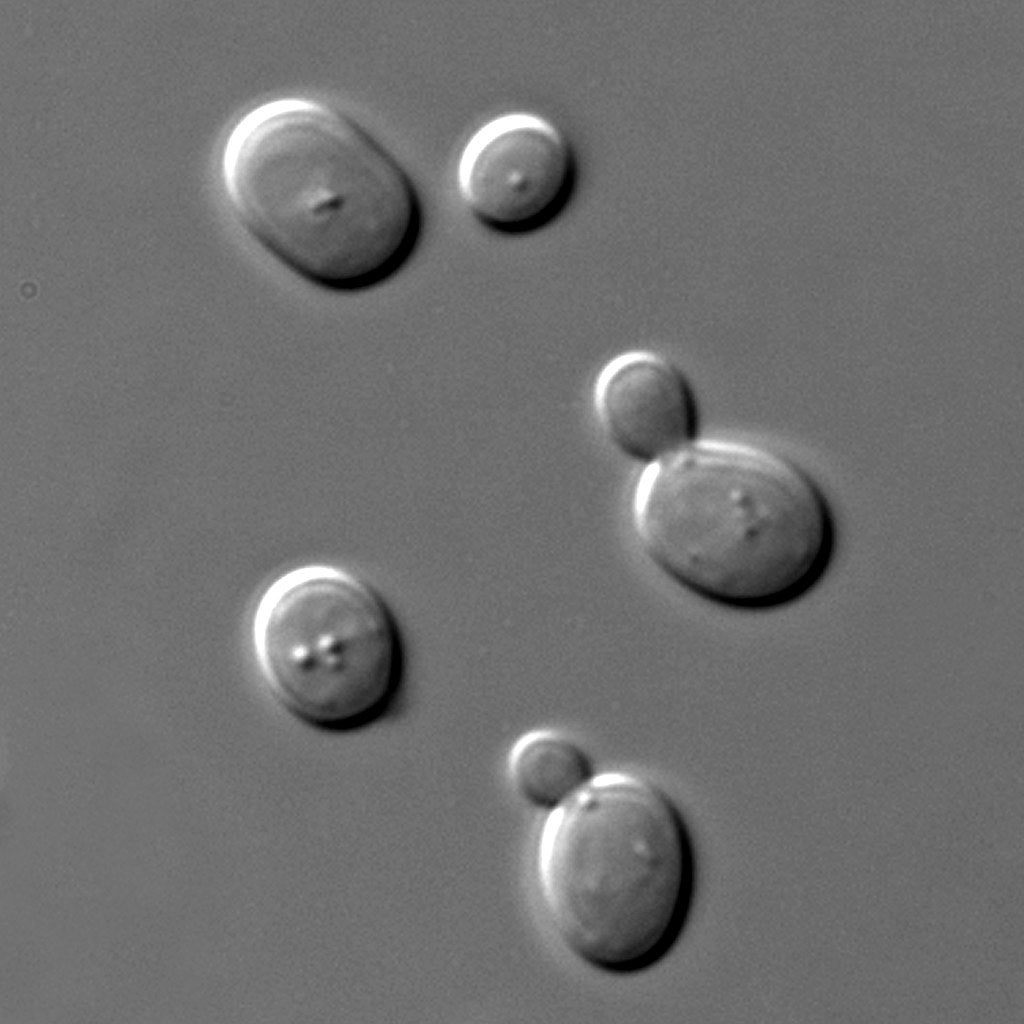
Después de ser dado de alta del hospital, el hombre buscó tratamiento en una clínica en Ohio. En las pruebas médicas, la mayoría de las lecturas parecían normales, pero su muestra de heces mostró la presencia de Saccharomyces cerevisiae (levadura de cerveza) y un hongo relacionado.
El caso, ahora sí, podía enlazarse con otro ocurrido en 2013, cuando un hospital hizo pública la historia de un hombre de Texas que tenía un nivel de alcohol en sangre de .37 sin haber ingerido una gota de alcohol. Aquel caso desembocó en lo que los investigadores Barbara Cordell y el Dr. Justin McCarthy denominaron como el “síndrome de fermentación intestinal”.
Los investigadores descubrieron que el paciente tenía una infección con la Saccharomyces cerevisiae, una levadura común. Cuando consumió almidón, la levadura fermentó junto con los azúcares, convirtiéndose en etanol. En esencia, estaba preparando cerveza en sus entrañas.
Por tanto, el síndrome de fermentación intestinal se trata de una condición médica extremadamente rara en la cual se producen cantidades intoxicantes de etanol a través de la fermentación endógena dentro del sistema digestivo. Dicho de otra forma, simplemente ingerir carbohidratos puede ser suficiente para embriagarte, y la Saccharomyces cerevisiae es el patógeno central para la afección.

El problema, como explicaban en su trabajo Cordell y McCarthy, es que “es crucial que se reconozca porque estar borracho conlleva muchos efectos negativos, como la pérdida del trabajo, las dificultades de relación, el estigma e incluso el posible arresto y encarcelamiento. A los proveedores de atención médica les correspondería escuchar con más atención al paciente intoxicado que niega ingerir alcohol. Hasta ahora solo ha habido alrededor de cinco casos de la afección en los últimos 30 años”.
En el caso reciente, aunque el paciente fue tratado con éxito en la clínica, su diagnóstico se reveló en brotes posteriores, y el incidente más grave fue una caída mientras estaba ebrio que resultó en un sangrado intracraneal.
Mientras se recuperaba en el hospital, su alcohol en la sangre aumentó hasta 400 mg / dL, el doble de la concentración registrada cuando fue detenido, pero aún así “el personal médico se negó a creer que no bebía alcohol a pesar de sus persistentes negaciones”, cuentan los investigadores.
Finalmente, el paciente encontró un tratamiento gracias a los especialistas de la Universidad de Richmond, quienes utilizaron una combinación de terapias antifúngicas y probióticos para tratar la microflora intestinal del hombre. Según los investigadores:
Aproximadamente uno año y medio después, permanece asintomático y ha retomado su estilo de vida anterior, incluida una dieta normal mientras sigue comprobando esporádicamente sus niveles de alcohol en el aliento. Creemos que los síntomas de nuestro paciente se desencadenaron por la exposición a antibióticos, lo que resultó en un cambio en su microbioma gastrointestinal que permitió el crecimiento excesivo de hongos. Es ahora cuando estamos comenzando a reconocer la complejidad de este raro y probablemente poco diagnosticada condición.
Y es que, aunque el paciente ha tenido un final feliz, libre por fin de una embriaguez que nunca buscó, durante años ha tenido que luchar con la incredulidad de una sociedad que solo veía un alcohólico. [NewScientist, ScienceAlert, BMJ Open Gastroenterology, Wikipedia]