
Ésta es una historia que te hará tener pesadillas cuando seas mayor. Los médicos dicen que este anciano pasó por un terrible calvario porque sus cirujanos se habían olvidado de quitarle la dentadura postiza, que quedó alojada en su garganta durante una operación.
Según uno de los médicos británicos que atendieron a este hombre de 72 años, quien escribió sobre el caso en BMJ Case Reports, sus problemas comenzaron al poco de una cirugía aparentemente exitosa y sin mayores complicaciones en la que le extrajeron un bulto benigno del interior del pecho. Pero él constantemente notaba sangre en la boca, también experimentaba dolor de garganta y tenía problemas para tragar. Cuando fue a urgencias seis días después de la cirugía, ni siquiera podía comer ningún tipo de alimento sólido.
Los médicos inicialmente sospecharon que sus síntomas eran el resultado de una infección respiratoria, posiblemente mezclada con los efectos posteriores de haber sido intubado durante la cirugía. Así que lo enviaron a casa con varios antibióticos y medicinas. Dos días, sin embargo, regresó en un estado mucho peor, puesto que no podía ni tragar la medicación que le dieron. Fue hospitalizado, aunque los médicos aún asumieron erróneamente que había desarrollado una neumonía grave, posiblemente causada porque se introdujesen alimentos, ácido estomacal o saliva en sus pulmones.
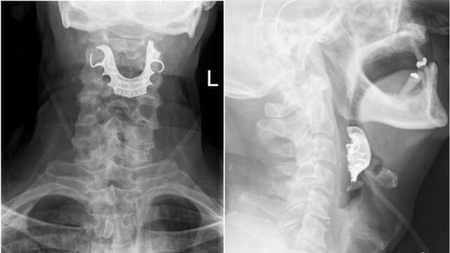
Pero cuando un nuevo grupo de médicos miró dentro de la garganta del hombre, después de que se quejase de sus síntomas, rápidamente detectaron que había algo alojado en su laringe. Y fue entonces cuando el hombre dijo que sus prótesis dentales habían desaparecido misteriosamente una semana antes.
Obviamente, la dentadura postiza tenía que haber sido retirada antes de la intubación, anotaron en el informe.
“La presencia de prótesis dentales debe quedar claramente documentada antes y después de cualquier procedimiento, y todos los miembros del equipo de la sala de operaciones deben conocer el plan perioperatorio”, dijo la autora del estudio, Harriet Cunniffe, especialista en laringología del Hospital James Paget.
Aunque los médicos pronto pudieron retirar la dentadura de la garganta con unas pinzas, el sufrimiento del hombre aún no había terminado.
Durante las siguientes seis semanas, se vio atrapado en un ciclo en el que el sangrado de su garganta parecía detenerse y era dado de alta del hospital, solo para que comenzara a sangrar nuevamente y tuviese que ser readmitido. El sangrado se hizo tan intenso que necesitó múltiples transfusiones de sangre. Finalmente, después de varias operaciones de cauterización, comenzó a recuperarse.
Sorprendentemente, esta no es la primera vez que los médicos hacen que las personas se traguen sus dentaduras postizas durante una operación. Cunniffe pudo encontrar al menos 83 casos en un lapso de 15 años, incluido uno que terminó en tragedia.
Incluso más allá del error médico, añadió, hay una lección que los médicos deben aprender sobre el deber de escuchar a sus pacientes.
En este caso, el hombre se había quejado constantemente de dolor de garganta y problemas para tragar desde la primera vez que fue a urgencias. Pero nadie quiso hacer una revisión de su garganta, algo que podría haber ahorrado un sufrimiento innecesario al paciente.
“Así que escuchen la historia del paciente y no se distraigan con los resultados de las investigaciones”, escribió Cunniffe.