
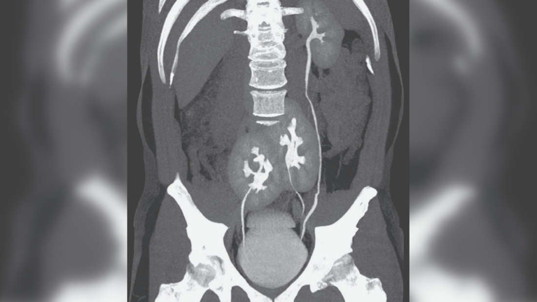
El caso apareció publicado en New England Journal of Medicine (NEJM) la semana pasada. Un hombre de 38 años visitó un hospital en la ciudad de São Paulo debido a un fuerte dolor lumbar. La posterior tomografía computarizada (TC) reveló que el paciente tenía tres riñones en su abdomen: un riñón izquierdo de apariencia normal, y dos riñones fusionados.
Según ha explicado a los medios el doctor Dr. Renato Foresto, uno de los autores del estudio del caso del Hospital do Rim en São Paulo:
Nunca habíamos visto algo así. Fue una sorpresa, seguida de la preocupación de que hubiera algo mal con la salud del paciente.
Sin embargo, y por extraño que parezca, la condición del hombre no parecía afectar su salud. Los análisis de sangre mostraron que su función renal era normal y, a excepción de una hernia discal, parecía estar bien. Según Foresto:
Su función renal ... era completamente normal. Se consideró suficiente investigación adicional con ultrasonido abdominal y tomografía ya que la causa del dolor ya había sido diagnosticada y no había otros cambios en las pruebas de laboratorio.
Cuentan en su informe los expertos que los riñones del paciente son una anormalidad congénita poco común que probablemente ocurrió durante el desarrollo embrionario, cuando una sola estructura primitiva similar a un riñón se divide en dos.
Si bien es extremadamente raro, dicha condición se ha documentado un par de veces antes. Conocido como riñón supernumerario, se cree que hay menos de 100 casos de la afección en la literatura médica, incluidos varios de hace más de un siglo.
Además, y como cuentan los doctores del nuevo estudio, muchas personas con un riñón supernumerario ni siquiera son conscientes de su condición. “Las personas afectadas son comúnmente asintomáticas y, como en este caso, la afección puede no conocerse hasta que se realicen las imágenes por otra razón”, finalizan los médicos. [New England Journal of Medicine via IFLScience]