Los médicos en Japón dicen que la ingestión accidental de un palillo de dientes por parte de un hombre lo dejó lidiando con meses de dolor en la espalda y la pierna, todo debido a que dicho palillo se atascó en su recto. Una vez que se quitó el palillo, afortunadamente los problemas del hombre…
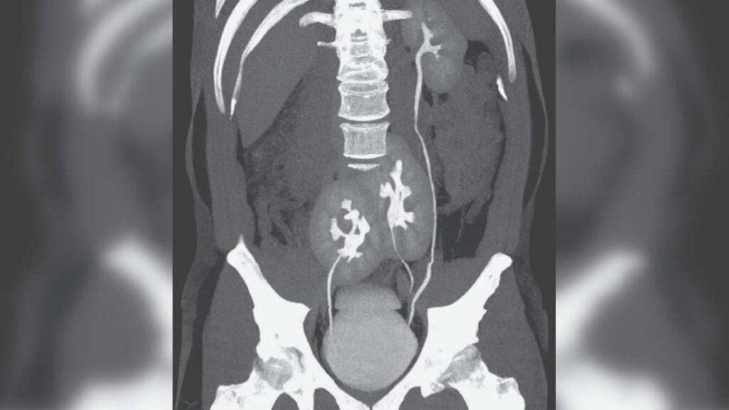
El caso apareció publicado en New England Journal of Medicine (NEJM) la semana pasada. Un hombre de 38 años visitó un hospital en la ciudad de São Paulo debido a un fuerte dolor lumbar. La posterior tomografía computarizada (TC) reveló que el paciente tenía tres riñones en su abdomen: un riñón izquierdo de apariencia normal,…
Nos pasamos el día sentados delante de un PC. Si lo hacemos con una mala postura podemos acabar con dolores muy serios en la espalda, las piernas o los brazos. ¿Cómo hacer para evitar esto? Según Jon Cinkay, todo comienza por ordenar los elementos de la mesa de la manera adecuada. Cinkay trabaja como coordinador…
Nunca puedo sentarme cómodamente en un vuelo; He luchado contra el dolor de espalda durante años. Después de salir de un largo viaje en un asiento intermedio, me caigo en el piso del aeropuerto como un niño que aprende a caminar. Si tienes un problema similar, es normal: sentarse en un espacio reducido con pocos…
En un nuevo informe clínico, un grupo de médicos irlandeses relató el desconcertante caso de un hombre de 33 años que se había inyectado su propio semen por vía intravenosa durante un año y medio para tratar de “curar” un dolor de espalda crónico. No parece haber funcionado. Tras inyectarse semen en el brazo mensualmente…
Todos somos más o menos conscientes del daño que provoca una mala postura, especialmente los que pasamos muchas horas frente a la pantalla. Pero no solo estar sentados con la espalda arqueada puede causar dolor: también hay malos hábitos al estar de pie o acostados que no hacen ningún favor a nuestro cuerpo. Así es:…
No hace falta que te diga que pasar muchas horas frente a la pantalla puede hacer estragos en la columna vertebral. Bien, cuatro minutos de ejercicio son suficientes para mitigar el dolor crónico de espalda. Ya vimos cómo corregir esa terrible postura y ahora veremos dos ejercicios para aliviar el dolor. El doctor Eric Goodman,…
En los tiempos que viven, somos muchos los que nos pasamos toda la jornada laboral sentados frente a una pantalla y aporreando un teclado. A la larga, la espalda es la primera que se resiente. Unos simples ejercicios cada día pueden ayudarnos a que la espalda no acabe en esa postura tan poco sana como…
Si estás cansado de pasarte horas y horas sentado frente a una pantalla, dolor de espalda incluido, esta idea te va a interesar. Las mesas para trabajar de pie no solo son realmente caras sino que además tampoco suelen estar muy bien diseñadas. Dos diseñadores han creado esta mesa improvisada que es bastante más barata…
Zach Prewitt, el responsable del video que recopila varias escenas de berrinche en el cine, ha creado un nuevo “supercut” de personajes de espaldas a la cámara mirando algo increíble. Este video recopila más de 90 escenas, al parecer los programas de televisión y las películas de ciencia ficción o fantasía hacen un uso particularmente…