Saltar al contenido
Ciencia

Una mujer podría terminar en la cárcel después de negarse a recibir tratamiento contra la tuberculosis

Durante más de un año, una mujer se negó a obedecer las órdenes judiciales de quedarse en casa y expuso a otros a su infección activa de tuberculosis
Ed Cara

Tiempo de lectura 4 minutos

Comentarios (0)

El caso activo de tuberculosis de una mujer ha llevado a los funcionarios de salud del estado de Washington a alertar al público. Según los informes, la mujer rechazó el tratamiento durante más de un año y desobedeció múltiples órdenes judiciales para permanecer aislada de los demás. El departamento de salud puede emprender más acciones legales contra la mujer si continúa sin cumplir, lo que podría incluir la detención en una cárcel local.

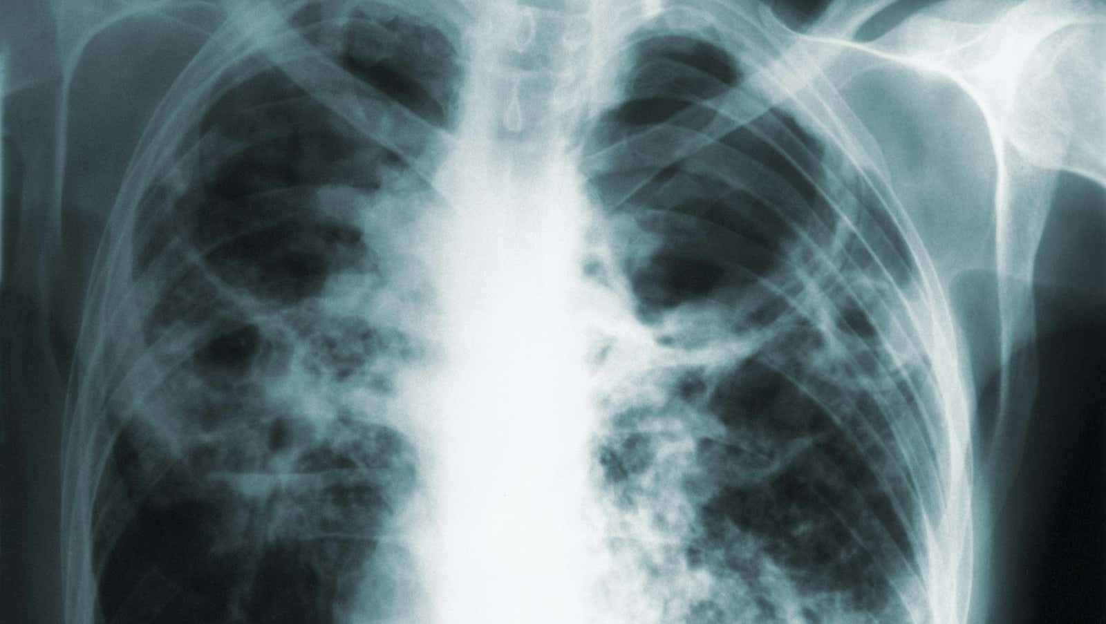
La tuberculosis, o TB, es causada por Mycobacterium tuberculosis. Muchas personas infectadas con la bacteria de la tuberculosis no se enferman y, a menudo, la infección entrará en un estado latente, donde los niveles de la bacteria permanecen bajos y las personas no se enferman ni son contagiosas para los demás. Sin embargo, si no se trata, la infección puede reaparecer e incluso convertirse en una amenaza para la vida, especialmente en personas con sistemas inmunitarios debilitados. La tuberculosis activa generalmente afecta los pulmones y causa síntomas respiratorios, pero la infección también puede migrar a otras partes del cuerpo.

El 30 de enero, el Departamento de Salud del Condado de Tacoma-Pierce anunció que estaba monitoreando un caso de tuberculosis activa en un residente. Continuó afirmando que la mujer había rechazado la medicación con antibióticos, aunque los funcionarios todavía estaban trabajando con ella y su familia para persuadirla de lo contrario.

“La mayoría de las personas con las que contactamos están felices de recibir el tratamiento que necesitan”, dijo Nigel Turner, director de la división de Control de Enfermedades Transmisibles, en un comunicado en ese momento. “Ocasionalmente, las personas rechazan el tratamiento y el aislamiento. Cuando eso sucede, tomamos medidas para ayudar a mantener segura a la comunidad”.

Unos días después, un informe de The News Tribune reveló que este caso ha sido una saga interminable. Según los registros judiciales vistos por el medio local, el departamento de salud obtuvo por primera vez una orden judicial contra la mujer el año pasado, el 18 de enero de 2022. La orden judicial pedía que se la aislara involuntariamente en su casa (fuera de la atención médica requerida) hasta que las pruebas confirmaron que ya no era una amenaza para la salud pública. En sus argumentos, los funcionarios alegaron que había comenzado pero no terminado el tratamiento y que no estaba dispuesta a reanudar el tratamiento o aislarse por su propia cuenta.

Tanto la TB activa como latente son curables, pero pueden pasar de cuatro a nueve meses tomando varios antibióticos para erradicar por completo la infección. Una pequeña pero importante proporción de casos son causados por bacterias de TB resistentes a los medicamentos, que son aún más difíciles de tratar con éxito. Un factor de riesgo importante para la aparición de estas cepas es que las personas no completen el tratamiento, lo que puede permitir que algunas bacterias sobrevivan y desarrollen resistencia a los medicamentos de primera línea.

Según The News Tribune, la mujer incumplió la orden judicial inicial y las posteriores obtenidas por el departamento de salud. Pero la gota que colmó el vaso parece haber ocurrido este enero. En una petición presentada el 11 de enero, el departamento afirmó que la mujer había tenido recientemente un accidente automovilístico. Un día después, buscó atención en una sala de emergencias por dolor en el pecho y le hicieron radiografías. Según los informes, la mujer no informó a la sala de emergencias de su estado de tuberculosis, lo que podría exponerla a ella y a otros a la infección. Su confidencialidad incluso llevó al personal a suponer que sus síntomas podrían haber sido causados por cáncer de pulmón. Y, según los informes, la mujer también dio positivo por covid-19 al mismo tiempo.

En un fallo más tarde ese mes, The News Tribune informó que el tribunal declaró que si la mujer continuaba sin obedecer estas órdenes de aislamiento, podría ser declarada culpable de desacato. Eso abriría la posibilidad de medidas más estrictas, que van desde el control electrónico del hogar hasta la detención total en una cárcel del condado. Y el departamento de salud parece estar listo para llegar tan lejos si es necesario, aunque no hasta que se hayan agotado todas las demás alternativas.

“La detención en prisión es la última opción que queremos tomar y no lo hacemos a la ligera. Pero ocasionalmente eso se vuelve necesario si existe un riesgo para el público”, dijo Turner a The News Tribune.

La TB es rara en los EE. UU., con Washington viendo alrededor de 200 casos al año, según el Departamento de Salud del Condado de Tacoma-Pierce. Pero sigue siendo un gran asesino en todo el mundo, con un estimado de 1,6 millones de muertes por tuberculosis reportadas en 2021, lo que la convierte en la segunda causa principal de muerte por una sola enfermedad infecciosa ese año, detrás de covid-19.

Explorar más sobre estos temas

Compartir esta historia

Artículos relacionados