Según se informa, se ha hospitalizado a personas con niveles de azúcar en la sangre peligrosamente bajos y convulsiones después de tomar Ozempic falsificado que probablemente contenía insulina.
Los investigadores identificaron docenas de clínicas que venden tratamientos con células madre costosos y probablemente inútiles para esta afección crónica, a menudo debilitante.
El arácnido había estado dentro de la oído izquierdo de la mujer durante al menos cuatro días, incluso mudando una vez. Pero los médicos consiguieron extirparlo con sin problemas.
Un nuevo metanálisis encuentra que las personas que informan sobre traumas infantiles tienen notablemente más probabilidades de ser diagnosticadas con trastornos de dolor de cabeza más adelante en la vida.
Una encuesta entre dueños de mascotas en tres países encontró que las personas generalmente se preocupan más por sus perros que por sus gatos, pero la brecha parece ser encogiéndose.
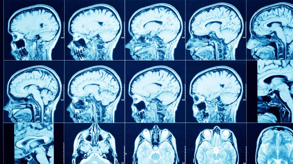
Dos estudios sugieren que hasta 10 millones de estadounidenses no saben que viven con un deterioro cognitivo leve y pocos médicos lo identifican con tanta frecuencia como deben .
La principal cadena de farmacias dejará de vender algunos descongestionantes que contienen fenilefrina, que se cree que es ineficaz.
Investigadores de la Universidad de Stanford descubrieron que las personas deprimidas que recibieron ketamina antes de someterse a anestesia mejoraron tanto como aquellas que recibieron solución salina.
Los investigadores encontraron un vínculo entre la covid-19 y el síndrome de Guillain-Barré, y al mismo tiempo descubrieron que la vacunación con ARNm podría reducir este riesgo.
El tratamiento parecía haber extendido la supervivencia de algunas personas con glioblastoma, un cáncer normalmente incurable.
Una nueva investigación ha encontrado ADN vegetal en las entrañas de las cigarras periódicas adultas, pero no en las recién emergidas, lo que indica que dejan de tomar un mordisco.
Dormir después de una alarma no parecía tener efectos notables en la calidad del sueño, e incluso podría ayudar a algunas personas a despertarse más alerta.
La aguja de 3 centímetros de largo aparentemente no ha causado problemas de salud importantes y permanecerá colocada.
Las personas que ya perdieron peso al principio perdieron sustancialmente más libras que aquellas que tomaron placebo, según encontró el ensayo clínico más reciente de Eli Lilly .
La investigación es la última en sugerir que algún día los cerdos genéticamente modificados podrán usarse para salvar a las personas que necesitan trasplantes de órganos.
La FDA ha recibido informes de personas que resultaron heridas después de tomar ketamina en casa por problemas de salud mental sin supervisión médica.
Una encuesta encontró que el 53 % de los dueños de perros expresaron algunas dudas sobre las vacunas de sus mascotas, que pueden prevenir enfermedades mortales como la rabia.
Esta rara afección de la piel se conoce como dermatitis shiitake.
Gracias a la tecnología de última generación y a una cirugía novedosa, la prótesis de mano Mia ha proporcionado a su primer usuario una nueva oportunidad de vida y mucho menos dolor fantasma.
El ejercicio a menudo se promociona como una alternativa a los antidepresivos. Investigadores holandeses decidieron poner a prueba esas afirmaciones.