Aparentemente se trata de un magnetar con un período extremadamente largo, algo que los investigadores teorizaban que no puede suceder
No ha encotnrado materia de organismos biológicos, pero este descubrimiento acerca la posibilidad de encontrar signos de vida fosilizada en Marte
El Webb fue capaz de detectar una molécula de carbono CH3 en un disco protoplanetario a 1350 años luz de distancia.
Un estudio revela que las mariposas con más manchas sobreviven mejor a su migración anual.
El Cometa Read contiene agua helada que se remonta a los orígenes del Sistema Solar
Se trata del evento de disrupción de marea más lejano observado hasta ahora.
Un estudio reciente con ratones que habían sido creados para estar libres de gérmenes ha resuelto el "enigma" de las heces en el baño
El texto podría formar parte de un legendario mapa estelar que los historiadores llevan siglos buscando.
El invento pronto podría ayudar a las personas con problemas de movilidad.
Este descubrimiento que ha tenido lugar en Borneo indica que esta práctica era mucho más antigua de lo que imaginábamos
El nuevo descubrimiento se llevó a cabo a través de un análisis químico de cerámica antigua increíblemente bien conservada
El cambio a caminar sobre dos piernas, en lugar de cuatro, es un momento importante en la evolución de nuestra especie
El resultado de dicha investigación reveló que el cratón de Pilbara se formó en tres etapas
El descubrimiento se ha producido en una mina de Sudáfrica y confirma que ese tipo de agua podría existir en otros planetas
Los ratones dieron a luz camadas clonadas sanas, que luego se aparearon para demostrar que podían reproducirse
El 78 por ciento de todas las CTC encontradas en las muestras combinadas provenían de las muestras tomadas durante la fase típica de sueño
El nuevo estudio se centró en el valle de Chüy, cerca del lago Issyk Kul en el norte de Kirguistán
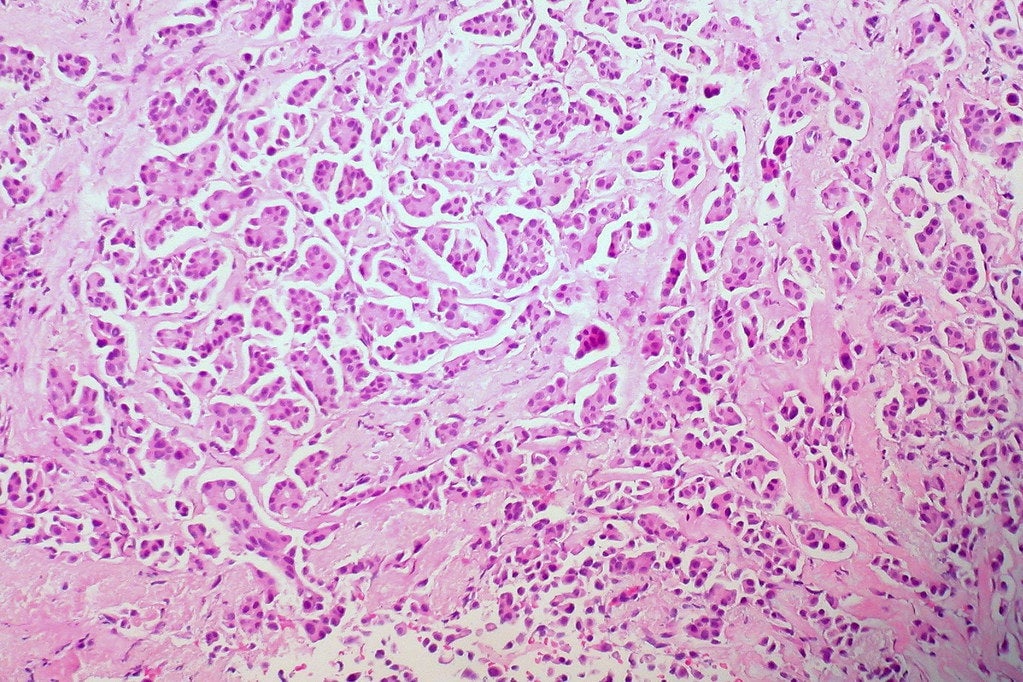
Entre las personas que fuman pero nunca desarrollan cáncer de pulmón, un estudio encontró una ventaja inherente
El trabajo indica que los asentamientos datan de aproximadamente 500 EC a 1400 EC
Lograron recopilar una gran cantidad de datos donde destacaron las propiedades eléctricas y magnéticas del agua y la tierra debajo del parque