Cientos de científicos de todo el mundo acaban de solicitar a la Organización Mundial de la Salud a través de una carta abierta con una sola demanda: reconocer públicamente que el coronavirus detrás de covid-19 puede transmitirse por el aire, lo que significa que puede propagarse por el aire (y permanecer allí) a través de…
Lo último de Samsung es un dispositivo muy acorde con los tiempos que corren. se trata de un cargador inalámbrico en forma de estuche. ¿Por qué hacerlo cerrado? Pues porque además de cargar tus auriculares Earbuds o tu Samsung Galaxy, el accesorio lo bombardea con luz ultravioleta para desinfectarlo. El dispositivo tiene dos lámparas ultravioleta…
Una pandemia global de COVID-19 nos ha sorprendido a todos sin que tengamos claro qué materiales son más efectivos para fabricar mascarillas que minimicen la transmisión de la enfermedad a través de la tos y los estornudos. Si bien se han realizado numerosas investigaciones sobre cómo funcionan las mascarillas de grado médico, los estudios sobre…
El pasado mes de abril, American Airlines limitó el aforo máximo de sus vuelos al 85% de la capacidad total de los aviones para facilitar el distanciamiento físico entre los pasajeros. Ahora la compañía acaba de anunciar el fin de esa medida en pleno aumento del número de casos en Estados Unidos. La compañía mantiene…
Será difícil, por no decir imposible, escapar de una recesión global de acuerdo a los análisis de la gran mayoría de los expertos. Sin embargo, habrá mucho más. Esto es lo que piensan que puede ocurrir 347 analistas sobre los riegos en los próximos 18 meses debido a los efectos de COVID-19. Veamos primero la…
“El portador de esta tarjeta sufre de una enfermedad mental o física que le impide llevar mascarilla en virtud de la ley para personas con discapacidad, y no está obligado a revelar su enfermedad.” El texto de esta tarjeta sanitaria de aspecto oficial solo acierta en una cosa: lo de la enfermedad mental. Sí, lo…
La pandemia de covid-19 ha trastocado la vida de miles de millones de personas de la noche de la mañana. Tres meses después de los primeros brotes en Europa y Norteamérica, muchos países han desescalado sus medidas de confinaminamiento y están entrando en una nueva normalidad donde sigue vigente el distanciamiento físico, el uso de…
Científicos chinos han recorrido de cabo a rabo el mercado alimentos de Xinfadi buscando el origen del brote que el pasado jueves ocasionó 79 nuevos casos de covid-19 en Pekín. Las primeras investigaciones apuntan a que el origen está en una tabla de cortar salmón de una de las pescaderías del mercado. En cuanto se…
El 5G se ha convertido en un protagonista inesperado de la pandemia de covid-19. Hay dos grandes teorías conspirativas al respecto: la que dice que debilita el sistema inmunológico y la que asegura que nos van a implantar microchips con la vacuna del coronavirus para luego controlarnos a través de las redes 5G. No hay…
Sabemos que para evitar contagiarnos de covid-19 lo mejor es no frecuentar espacios cerrados con mucha gente y lavarnos frecuentemente las manos. A esas dos recomendaciones puedes ir sumando una tercera: baja la tapa del inodoro cuando tires de la cadena en un baño público. Un nuevo estudio publicado en la revista Physics of Fluids…
El solsticio de verano tiene una magia especial en Stonehenge. Cuando el sol sale por el horizonte en esa fecha se alinea perfectamente con el monumento megalítico. Este año será la primera vez en la historia que el evento se podrá seguir por Internet. La peculiar alineación de las piedras de Stonehenge con el solsticio…
Pekín ha registrado 79 nuevos casos de coronavirus en solo cuatro días. El rebrote es lo bastante alarmante como para que las autoridades de la ciudad hayan vuelvo a confinar a los habitantes de ciertas zonas. Se han vuelto a imponer limitaciones de viaje y se han cancelado algunos eventos públicos. La medida puede parecer…
En España tenemos a Miguel Bosé y Enrique Bunbury como abanderados de la teoría chanante que tiene a Bill Gates como el oscuro villano que maneja los hilos de la pandemia para llevar a cabo la dominación del planeta. No es la única teoría. De hecho, una de las más hilarantes junta a Marvel con…
Hace una semana tuve que volar de regreso a Estados Unidos después de estar atrapado en el extranjero durante meses debido a la pandemia del covid-19. La experiencia fue tremendamente surrealista pero, también, y de manera casi preocupante, normal. Al menos hasta la llegada a JFK. Pasé los últimos tres meses en Israel. Había ido…
El New York Times ha publicado una web para seguir el estado actual de la vacuna contra el coronavirus. Según el rastreador, hay más de 135 equipos compitiendo para producir una vacuna segura y efectiva, pero tiene que pasar por varios ensayos clínicos antes de que los reguladores puedan aprobarla. Hay cuatro tipos de vacunas en…
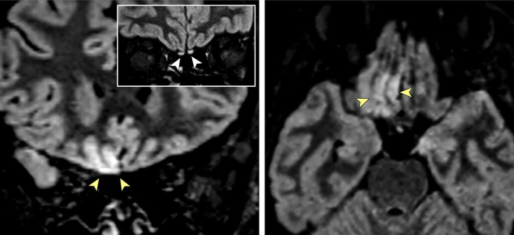
Una radiologa italiana se ha convertido en el primer caso conocido en el que un paciente de covid-19 sufre alteraciones cerebrales debido a la invasión del cerebro por parte del patógeno. No, por el momento no hay que temer una invasión zombie, pero el caso sirve para explicar uno de los síntomas más desconcertantes de…
Lavarse las manos de manera eficaz sigue siendo la mejor manera de prevenir el contagio de covid-19, sobre todo ahora que la desescalada por fin va a dejarnos frecuentar un poco más espacios públicos. Pero para que funcione hay que lavarse las manos correctamente, y Samsung quiere ayudar con una app. La app se llama…
¿Te imaginas una montaña rusa en la que nadie grita? En Japón están intentando que sea una realidad para evitar los contagios de covid-19. Según CNN Travel, la reapertura de los parques de atracciones tras el levantamiento del estado de emergencia ha llevado a un grupo de operadores de parques temáticos a establecer una serie…
Un vídeo difundido por WhatsApp confunde el servicio de Notificaciones de exposición al COVID-19 de Google con una aplicación que el gobierno ha instalado por real decreto en nuestros teléfonos para rastrear a la gente que ha estado en contacto con enfermos del coronavirus. Este es el vídeo en cuestión: Y esto es lo que…
Una tropa de monos atacó a un médico y robó muestras de sangre de pacientes que habían dado positivo por covid-19 en Meerut, al norte de la India. El ataque ocurrió en la mañana del viernes cuando un técnico del laboratorio de la facultad de medicina estatal de Meerut caminaba por el campus universitario. “Los…