Saltar al contenido
Ciencia

Un hombre contrae parásitos cerebrales en China por comer carne mal cocinada

Ed Cara

Tiempo de lectura 3 minutos

Comentarios (0)

El amor de un hombre por su deliciosa olla lo llevó por un camino mucho más peligroso de lo que esperaba. Los médicos en China dicen que la comida poco cocinada lo expuso a una infección que acribilló su cerebro con quistes larvarios y le provocó convulsiones. Afortunadamente, sin embargo, ahora está recuperándose.

La semana pasada, los médicos del Hospital de la Universidad de Zhejiang publicaron un informe sobre el caso de su paciente de 46 años, referido solo como Zhu.

El informe parece incluir el testimonio del hombre mismo. Revela que Zhu comenzó a experimentar mareos, dolores de cabeza, convulsiones y espuma en la boca mientras dormía hace aproximadamente un mes. Poco después y mientras trabajaba en un sitio de construcción, experimentó otra convulsión frente a sus compañeros de trabajo que pidieron ayuda de emergencia. En el hospital local a donde llevaron a Zhu, las radiografías iniciales sugirieron que tenía lesiones y lo que parecían ser depósitos de calcio en su cerebro. Pero Zhu, que no quería o no podía pagar más atención médica, rechazó más ayuda y simplemente se fue a su casa.

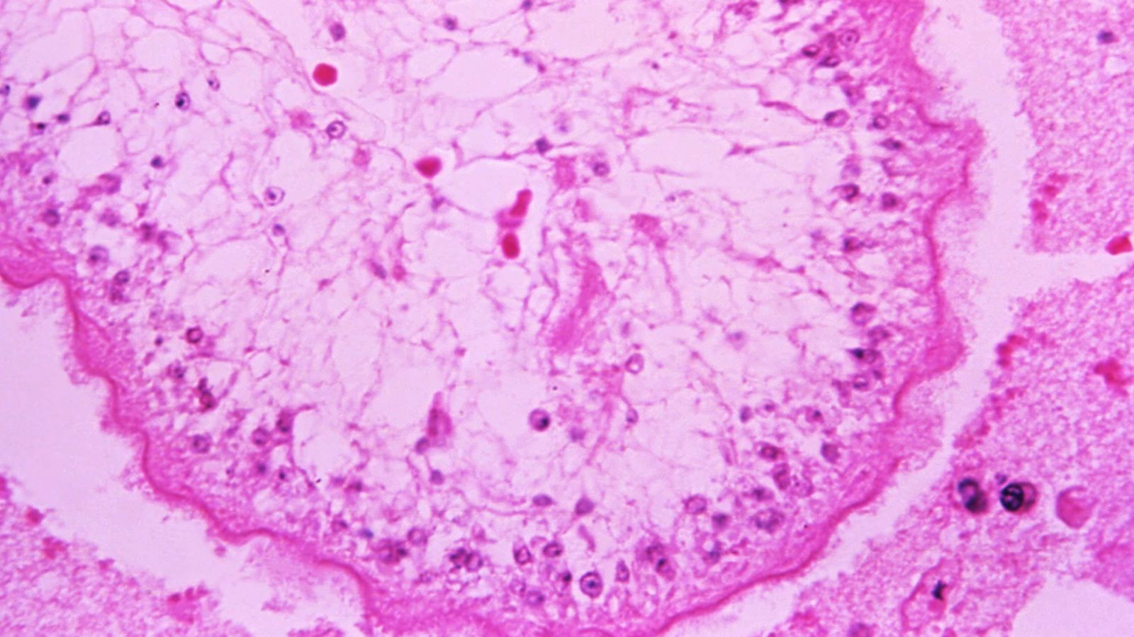
Sin embargo, sus síntomas continuaron y su familia finalmente lo convenció de buscar atención en el Hospital de la Facultad de Medicina de la Universidad de Zhejiang. Allí, una resonancia magnética reveló el verdadero culpable de sus enfermedades: quistes larvales de una tenia de cerdo que se había alojado en su cerebro. Cuando los médicos le preguntaron, Zhu admitió que recientemente había comido una comida caliente con carne de cerdo y cordero muy crudos. Es probable que las carnes poco cocidas, escribieron los médicos, estuvieran contaminadas con huevos de tenia.

Infestarse con tenias no es algo simple. Si alcanzan tu intestino después de comer el cerdo infectado con ellos, los huevos pueden convertirse en tenias adultas de tamaño completo que crecen varios centímetros. Una vez allí, las tenias pueden sembrar una nueva generación de huevos. Pero los huevos necesitan volver a infectar a los cerdos o nunca tendrán la capacidad de convertirse en tenias adultas.

Sin embargo, una persona todavía puede infectarse con estos huevos no desarrollados al ingerir alimentos y agua contaminados con ellos (y sí, también puede volver a infectarse con los huevos creados por su infestación anterior). Cuando esto sucede, los óvulos se convierten en quistes resistentes que migran a través del torrente sanguíneo y pueden terminar alojados en los tejidos del cuerpo, una afección llamada cisticercosis. Aunque prácticamente sin vida, los quistes aún pueden causar graves daños e inflamación. Esa inflamación puede ser completamente mortal si ocurre en el cerebro, causando un subconjunto de la afección llamada neurocisticercosis.

Según un informe de noticias local de Pear Video, con sede en Beijing, los médicos finalmente descubrieron alrededor de 700 quistes relacionados con la tenia en el cerebro y el pecho de Zhu, aunque esto aparentemente no se discute en el informe del caso. El informe del mismo detalla que Zhu recibió con éxito un tratamiento antiparasitario, junto con un procedimiento que alivió la presión arterial alta que amenazaba la vida en su cerebro causada por los quistes.

Si bien los casos de cisticercosis son más raros en las áreas del mundo con buen saneamiento, la neurocisticercosis todavía se considera una de las principales causas de infección cerebral en todo el mundo. Y en EE. UU., es una de las cinco infecciones parasitarias olvidadas que merecen una acción de salud pública, según los Centros para el Control y la Prevención de Enfermedades.

Justo en junio pasado, una mujer de Nueva York detalló su propio caso extraño de neurocisticercosis, que originalmente se sospechaba que era un tumor cerebral.

Compartir esta historia