Un grupo de investigadores analizaron la abundancia de gusanos de Anisakis entre 1978 y 2015 en los peces que se usan crudos para sushi. El equipo reunió datos sobre el número promedio de parásitos por pez de 123 estudios, que incluyeron 56.778 peces en 215 especies. Encontró un aumento de 283 veces en casi 40…
El director de Parásitos, Bong Joon-ho, es famoso por imaginar las escenas en sus películas con todo detalle y por verter sus ideas en storyboards meticulosamente diseñados que se pueden leer cinematográficamente casi como la propia película. Dada la aclamada crítica generalizada sobre Parásitos, no es sorprendente que los storyboards de la película vayan a…
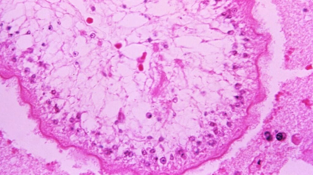
Hasta ahora se creía que la vida compleja sin oxígeno era imposible, pero eso era antes de que un equipo de investigadores liderados por Dayana Yahalomi, en la Universidad de Tel Aviv decidiera examinar a fondo a un parásito de los salmones muy común pero poco estudiado llamado Henneguya salminicola. La vida en la Tierra…
Parásitos fue sin duda la gran revelación de los Oscars y de todo 2019. Después de sus 4 Oscars, todo el mundo —público y crítica—ha corrido a alabar la labor de Bong Joon-ho y su extraordinario film. Sin embargo, P.L. Thenappan, un famoso productor de cine indio, defiende que se trata de un plagio de…
Antiguos insectos muy similares a los piojos de hoy en día parasitaban a los dinosaurios trepando por sus plumas, como demuestran un par de fósiles encontrados en ámbar hace poco. Las aves de hoy en día a veces están infestadas por piojos que se alimentan de sus plumas y su carne, y como ilustra una…
El amor de un hombre por su deliciosa olla lo llevó por un camino mucho más peligroso de lo que esperaba. Los médicos en China dicen que la comida poco cocinada lo expuso a una infección que acribilló su cerebro con quistes larvarios y le provocó convulsiones. Afortunadamente, sin embargo, ahora está recuperándose. La semana…
Convertirse en una curiosidad médica de la noche a la mañana no es algo que le pasa a todo el mundo. Pero es justo lo que le pasó a Dianne Travers-Gustafson, un antropóloga médica e investigadora de salud pública jubilada de Nebraska, EE.UU. En febrero de 2018, los ojos de Travers-Gustafson fueron infectados con un…
Pocas veces una pieza de excremento de un animal contiene tanta historia para la ciencia. Y es que una pila de heces prehistórica de puma albergaba el ADN del parásito más antiguo registrado hasta la fecha. Dicho de otra forma, la caca abre un nuevo espacio para comprensión de la historia paleobiológica de los ecosistemas…
Las garrapatas normales son un parásito pasivo. Se esconde entre la vegetación y espera a que una víctima pase al lado para dejarse caer sobre ella. La Hyalomma marginatum no solo es enorme, además persigue activamente a sus víctimas durante decenas de metros y transmite una enfermedad mortal. La marginatum es originaria de África y…
La escalofriante historia de un reportero del Reino Unido que perdió la visión en el ojo derecho aterrorizará a cualquiera que haya sido negligente con la higiene de sus lentes de contacto. El hombre contrajo una rara infección parasitaria, probablemente tras ducharse con sus lentes. El costoso error requirió más de 18 meses de tratamientos…
El Centro de Control de Enfermedades de Estados Unidos ha publicado un nuevo informe titulado Brotes epidémicos asociados al agua tratada recreativa. Bajo ese título tan largo se esconde una serie de estadísticas que básicamente confirman que hay demasiada gente que acude a nadar a una piscina pública con diarrea. El informe abarca un largo…
A menudo pensamos en las garrapatas como esos desagradables bichos esféricos del tamaño de un guisante que se le quedan pegados a nuestro pobre perro cuando lo llevamos al campo. La realidad es que ese no es el aspecto que debemos temer. El CDC ha publicado una interesante imagen para ilustrarnos. La imagen muestra un…
Si ya es difícil convivir con ciertos recuerdos, imagina ser un gusano plano, que regenera su cerebro con la memoria intacta después de ser decapitado. Los científicos sabían desde hace tiempo que estos parásitos, conocidos formalmente como platelmintos planares o planarias, pueden regenerar todo su cuerpo (cerebro incluido). También sabían que son capaces de almacenar…
Un nuevo estudio publicado en la revista Scientific Reports muestra que el parásito Toxoplasma gondii, que normalmente se transmite de los gatos a los humanos, desencadena cambios en el cerebro que pueden empeorar las enfermedades neurológicas como el alzhéimer, el párkinson y la epilepsia. “Este estudio es un cambio de paradigma”, dice uno de los…
Un grupo de investigadores ha encontrado un cuerpo momificado en Corea del Sur, y después de realizar una autopsia, descubrieron un saco de huevos de parásito perfectamente conservados en su hígado. Se trata del caso más antiguo registrado de una infección parasitaria en este órgano. En el estudio, publicado en el Journal of Parasitology, sus responsables…
Científicos de Florida han encontrado rastros de gusanos que habitan las arterias pulmonares de las ratas en cinco condados, hallazgo que refuerza la idea de que este parásito potencialmente mortífero está expandiendo su rango geográfico a causa del cambio climático (como habrán podido adivinar). Si esto les suena familiar, probablemente estén pensando en la reciente…
No se me ocurre peor manera de arruinarte el viernes que con esta imagen, la de un cirujano extrayendo un gusano de dos metros por la boca de un hombre de 48 años. O quizá sí: podría haber puesto un GIF. Los detalles de la operación fueron publicados por la revista New England Journal of…
Si te gusta el salmón, tenemos malas noticias para ti. Los precios de este sabroso pescado están tocando máximos históricos y todo indica que van a seguir subiendo. La culpa de este aumento la tiene un desagradable parásito que trae de cabeza a las granjas de salmones: el piojo de mar. El piojo de mar…
Pisar un insecto es una circunstancia ya muy asquerosa de por sí, pero el horror alcanza nuevas cotas si lo que hemos pisado es un grillo afectado por nematomorfos. Este gusano parásito es tan desagradable que ha creado su propia leyenda en Chile y Argentina: la leyenda del pelo vivo. El pelo vivo es un…
Descubrir que tu gato ha destrozado ese sofá de cuero con las garras o ha tirado al suelo toda la cristalería fina suele ser motivo para enfadarse, pero un equipo de investigadores ha encontrado indicios de una relación más literal entre enfadarse mucho y felinos. Se trata de un vínculo entre un trastorno del comportamiento…