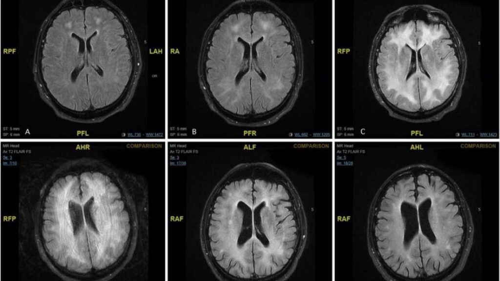
Un estadounidense de 30 años estuvo a punto de morir tras inyectarse en vena un té de hongos alucinógenos. Según un informe médico prepublicado en Journal of the Academy of Consultation-Liaison Psychiatry, el hombre desarrolló una infección potencialmente letal que hizo que los hongos crecieran en su sangre. El paciente pasó cerca de un mes…
A partir de ahora, antes de decidirte a comprar una casa para vivir es posible que quieras investigar sobre el historial de inquilinos que la habitaron. Si por casualidad das con un Walter White que había convertido la vivienda en un laboratorio de metanfetamina, huye de la compra. Eso es más o menos lo que…
Un equipo de arqueólogos en Israel ha detectado rastros de cannabis en un altar de más de 2.700 años de antigüedad que hay en un antiguo santuario judío. Este descubrimiento sin precedentes en la región sugiere que los antiguos israelitas usaron sustancias estupefacientes durante ceremonias religiosas. Al parecer, los antiguos israelitas quemaban cannabis mezclado con…
¿Qué ocurre cuando alguien ingiere accidentalmente 10 veces la dosis recreativa normal de LSD? ¿Y si elevamos esa dosis hasta 550 veces? Un nuevo estudio detalla tres casos excepcionales de sobredosis masivas del ácido. Lo mejor que podemos decir es que las tres personas siguen llevando una vida normal. El estudio buscaba comprender los efectos…
Las redes de juegos online pueden ser un lugar oscuro. Que se lo digan al FBI, que el mes pasado se ha puesto en contacto con Sony para solicitar información sobre un usuario de PS4 que supuestamente estaba vendiendo cocaína al por mayor a través de PlayStation Network. Según Motherboard, el FBI emitió una orden…
Aunque suene extraño, en un futuro no muy lejano podríamos usar un ingrediente clave de los hongos alucinógenos llamado psilocibina para mejorar nuestra salud mental. Este mes, la FDA otorgó la designación de “terapia innovadora” a una compañía sin ánimo de lucro que utiliza psilocibina como tratamiento para la depresión clínica. Esta etiqueta está destinada…
La escena tuvo lugar el pasado 11 de septiembre. Ese día, el Padre Alexander Goryachev y el Obispo Savva trataron de “limpiar” una ciudad rusa del “consumo del alcohol, las drogas y la fornicación” vertiendo 80 litros de agua bendita desde el aire sobre la ciudad de Tver. A la escena hay que añadirle algún…
Al final va a resultar que el bueno de Homer Simpson tenía algo de razón en eso de lamer sapos. Un equipo de investigadores de la Universidad de Maastricht ha estado experimentando con las secreciones de una especie de sapo muy conocida por su poder alucinógeno. Los resultados son sorprendentes. La especie en cuestión es…
Complementar la psicoterapia con pequeñas dosis de MDMA podría ser una estrategia efectiva para prevenir las recaídas de los adictos al alcohol, según sugiere un pequeño ensayo clínico. Esta investigación es otro ejemplo de cómo los científicos y los médicos están encontrando o redescubriendo usos terapéuticos para drogas recreativas ilegales. La terapia con ayuda de…
La terrible imagen que vemos en portada forma parte de un caso publicado en BMJ Case Reports. Un hombre de 45 años se presentó en la sala de emergencias de Malta con confusión y comportamiento inusual, y aunque no había consumido recientemente, su adicción a la cocaína lo estaba devorando por dentro. Al parecer, cuando…
Los 60 nunca se fueron del todo. De hecho, esta frase, a menudo utilizada como preámbulo para comparar algún fenómeno cultural nuevo, o para regresar a ese pasado contracultural que quizás pecó de optimismo, tiene en esta historia que ocurrió hace pocos días un sentido literal. Los 60 y sus sustancias siguen muy vivas. La…
El uso de drogas o sustancias para alterar el estado de nuestra conciencia no es nada nuevo. De hecho, el hallazgo de una bolsa de hace 1.000 años que perteneció a los pueblos precolombinos nos muestra hasta cinco drogas psicoactivas que probablemente utilizaron para rituales chamánicos. Al parecer, en el año 2008 un grupo de investigadores…
Hombres y mujeres en todas las orientaciones sexuales mezclan drogas y sexo, según sugieren los resultados de un nuevo estudio. Como parte de una encuesta más amplia, se descubrió que muchas personas homosexuales, bisexuales y heterosexuales admitían haber tenido relaciones sexuales mientras consumían drogas, y algunas las usaron de manera explícita para mejorar sus experiencias…
¿Cuántas veces has cogido el móvil durante el día de hoy? Seguro que no eres el único y que la mayoría de personas que te rodean echan mano todo el rato al suyo. ¿Pero sabías que los smartphones están diseñados precisamente para ser adictivos? Sin embargo, si conoces cómo funcionan sus tácticas para tenerte enganchado,…
Si estás en Japón, ten en cuenta este mantra: nunca consumas drogas en el país. Nunca. Como informamos anteriormente, el actor y músico Pierre Taki fue arrestado a principios de esta semana por presunto consumo de cocaína. Lo que sucedió después parecía inevitable. Sega sacó Judgement, un juego de PS4 en el que Taki interpreta…
Los granjeros de regiones como Madhya Pradesh, en la India ya no saben qué hacer. Lo han intentado todo, desde instalar altavoces o lanzar petardos a patrullar sus plantaciones día y noche, pero la plaga contra la que luchan es astuta y hará lo que sea por conseguir su botín: opio. El opio es un…
Dos estudiantes de una escuela de secundaria en Chihuahua, México, fueron trasladados de urgencia al hospital tras beber algo llamado Purple Drank. Se trata de una droga casera que se ha puesto de moda entre los adolescentes, pero que tiene una larga lista de efectos indeseados, algunos graves. Según informa The Excelsior Ambos jóvenes llegaron…
Ni tú ni yo consumiríamos drogas, por supuesto, o intentaríamos hacer trampa en algo tan importante como una prueba de drogas. Pero quizá tienes un “amigo” curioso que quiere saber cómo funcionan las pruebas. Esto es lo que necesita saber tu “amigo”. Según cuándo necesitas hacer la prueba, quizá no sea necesario hacer trampa Las…
La Cannabis sativa es una planta mundialmente conocida por producir una sustancia con propiedades psicoactivas y medicinales conocida popularmente como marihuana. Un equipo de investigadores acaba de descubrir un competidor natural de esa sustancia, y crece en el musgo. Antes de que salgas corriendo a buscar musgo “para una cosa” debo aclararte que no se…
Cuando los humanos toman MDMA o versiones como el molly y el éxtasis, normalmente se sienten muy felices, extrovertidos y particularmente interesados en el contacto físico. Recientemente, un grupo de científicos se preguntó si esta droga podría tener un efecto similar en otras especies, específicamente en los pulpos, un animal muy distinto a los seres…