Thor es uno de los personajes más entrañables del Universo Marvel por una sencilla razón: es uno de los que más ha cambiado. El Thor de Avengers: Endgame tiene muy poco que ver con el de la película con la que debutó. El director de aquel debut. Keneth Branagh, quiere una nueva oportunidad. En declaraciones…
Cuando Twitter pasó del +1 al hoy archiconocido botón de Me gusta no faltaron los usuarios que pusieron el grito en el cielo. Esos mismos usuarios probablemente necesiten vestiduras nuevas para rasgarse pronto, porque la red social está probando reacciones con Emoji al estilo Facebook. Una desarrolladora de aplicaciones llamada Jane Manchun Wong ha publicado…
Yellowstone es una maravilla natural en la que los seres humanos somos solo visitantes. No es nada raro encontrar animales cerca de las zonas de paseo, y tampoco es raro que alguno de esos animales sea peligroso. Lo que ya no es tan común es toparse con un oso Grizzly y un bisonte matándose al…
Quién necesita un peluche del coronavirus cuando puede tener en su despacho la figura de acción completamente articulada de un avispón gigante japonés (Vespa mandarinia) más conocido por el sobrenombre de avispón asesino. Mira esas mandibulas espeluznantes y ese aguijón horrible. ¿No es encantador? En japonés, el avispón gigante recibe el nombre de Suzumebachi (literalmente…
Buchanan Hauling & Rigging es una compañía especializada en transporte pesado por carretera. Su último trabajo es digno de alcanzar la fama en YouTube. Se trata de mover la pieza superior de una estación de peaje, un monstruo de acero de 152 toneladas y 71 metros de longitud. El transporte de una pieza tan larga…
Fuentes cercanas a We Got This Covered traen ecos de un debate interno en la editorial que podría terminar por llegar al Universo Marvel. Al parecer hay voces en Marvel no se siente muy cómodas con la denominación X-Men porque la consideran poco sensible a la perspectiva de género. Las fuentes de We Got This…
Hay reformas que se alargan un poco más de lo previsto. Un habitante de la ciudad de Chajul, en Guatemala, decidió renovar el encalado de las paredes de su casa colonial. Eso fue en 2003. Los siguientes 17 años, el salón de su casa se convirtió en la oficina de un grupo de conservadores de…
El uso de radares de penetración terrestre no es algo nuevo en el mundo de la arqueología, pero la técnica ha servido para obtener unos resultados sencillamente espectaculares en Falerii Novi, una antigua ciudad cuyas calles ahora conocemos pese a llevar siglos enterradas. Falerii Novi era una de las cerca de 2.000 ciudades que formaban…
Si alguien le encuentra el botón de reinicio a 2020, por favor que lo pulse. A la ya larga lista de catástrofes del año se suma una nueva: el vertido de 20.000 toneladas de combustible en una central eléctrica de la ciudad de Norilsk. El accidente es tan grave que Greenpeace ya lo compara con…
Muchos espectadores del primer vuelo tripulado de SpaceX se fijaron en un divertido detalle. Acompañando a los astronautas de la cápsula Crew Dragon había un colorido dinosaurio de peluche. El juguete no estaba ahí por capricho de los tripulantes. Su nombre técnico es: indicador de gravedad cero. Sí, resulta que SpaceX tiene la curiosa tradición…
La Xbox Series X sale a la venta estas Navidades, y se cree que lo hará acompañada de un rediseño de su tienda online. Aún no se sabe nada de cómo será esta nueva Xbox Store, pero desde la cuenta de Twitter de Community han filtrado varias capturas de pantalla. Poco después de que se…
Si por algo es conocido Studio Ghibli es por sus encantadoras películas animadas. Durante décadas, esta animación se ha llevado a cabo de forma completamente artesanal. La próxima película del estudio abandona esa tradición para sumergirse por completo en los métodos actuales. La película lleva por título Aya and the Witch, y se estrenará este…
Después de Alien: Covenant se diría que la popular saga de ciencia-ficción ha entrado en una especie de sueño criogénico como el de Ripley. No hay nuevas noticias sobre una eventual secuela, pero al menos Ridley Scott parece dispuesto a rodarla. Lo que tiene muy claro es la historia que quiere contar, y es un…
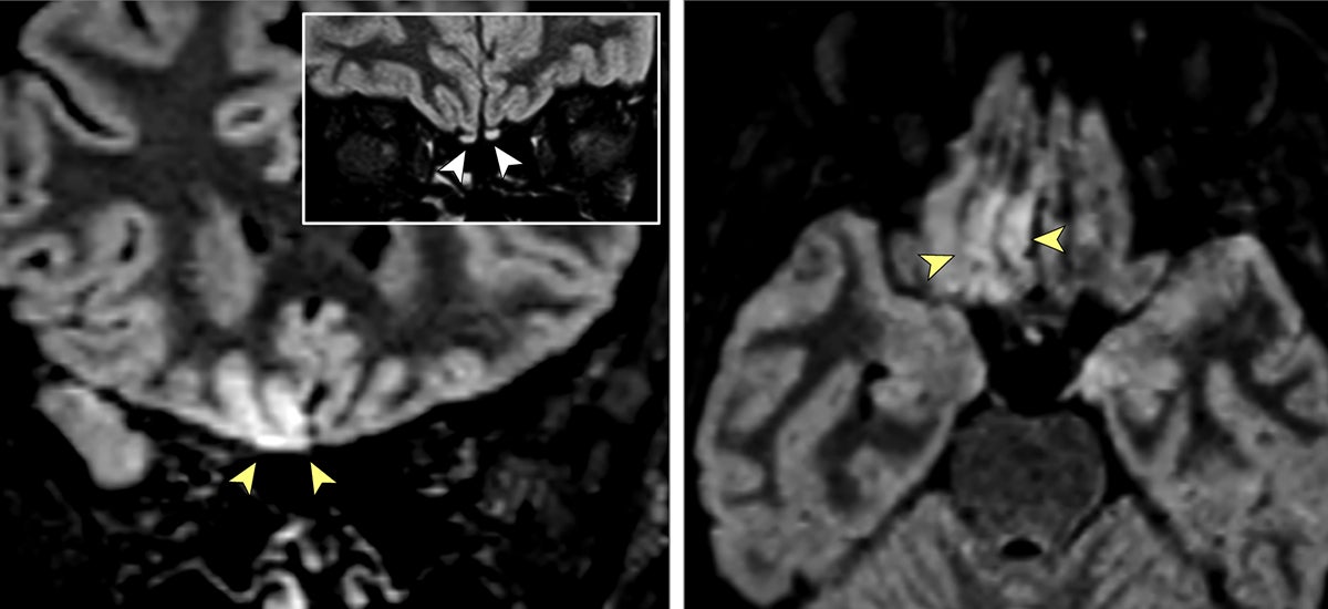
Una radiologa italiana se ha convertido en el primer caso conocido en el que un paciente de covid-19 sufre alteraciones cerebrales debido a la invasión del cerebro por parte del patógeno. No, por el momento no hay que temer una invasión zombie, pero el caso sirve para explicar uno de los síntomas más desconcertantes de…
Lavarse las manos de manera eficaz sigue siendo la mejor manera de prevenir el contagio de covid-19, sobre todo ahora que la desescalada por fin va a dejarnos frecuentar un poco más espacios públicos. Pero para que funcione hay que lavarse las manos correctamente, y Samsung quiere ayudar con una app. La app se llama…
Se diría que Shane Wighton tiene algo contra los deportes. El mes pasado, El responsable del canal de YouTube Stuff Made Here presentó al mundo una canasta de baloncesto cuyo tablero estaba diseñado para que todos los tiros entren. Ahora ha creado el palo de golf definitivo. La canasta de baloncesto era un dispositivo pasivo.…
La idea más extendida es que los tanques comenzaron a aparecer en la Primera Guerra mundial y se refinaron en la Segunda hasta terminar en las máquinas de guerra que conocemos ahora. Pero ese proceso fue mucho más accidentado de lo que creemos, y en el camino quedaron muchos modelos imposibles. Este genial vídeo de…
Tras unos cuantos avances en la red social china Weibo, Vivo por fin ha subido el telón para presentar oficialmente los nuevos Vivo X50. La familia está formada con tres terminales, el Vivo X50, el X50 Pro y el X50 Pro Plus. Entre sus características, lo más interesante son las cámaras. Comencemos con un resumen…
El Servicio Geológico de Estados Unidos ha registrado un total de 11 pequeños temblores en el área al oeste de Yellowstone. El más potente ha alcanzado una magnitud de 3,1, y el menor de 1,6. Todos ellos han tenido lugar a una profundidad de unos 4,8km y se suman a los 34 temblores del pasado…
El universo está compuesto por alrededor de un 5% de materia visible. El resto es materia oscura y energía oscura. El problema es que hasta ahora éramos incapaces de encontrar la mitad de esa materia visible que los investigadores conocen como materia bariónica. Un equipo acaba de censarla por primera vez. La materia bariónica es…
Modo
Síguenos en