Quedan muy pocos días para que termine 2019, un año apasionante donde hemos visto al hombre superarse en muchos terrenos, incluyendo la medicina. Los doctores se han encontrado con casos que nunca antes habían visto o que la propia literatura médica apenas había reportado en su historia.
Escrotos insólitos, pinzas del pelo en lugares inexplicables, gusanos de 10 metros en el mismo lugar inexplicable, dentaduras postizas en la garganta o incluso humanos con más de 500 dientes. Estos fueron los acontecimientos más extraños que se dieron en la medicina durante 2019:
Una mujer con una rara condición médica descubre al despertar que no puede escuchar las voces de los hombres

Imagínate cómo sería el mundo si te despertaras una mañana sin poder escuchar las voces de los hombres. Eso es lo que le pasó a una mujer en China, identificada como la Sra. Chen. El Daily Mail informa que una noche, Chen se fue a la cama después de sentir náuseas y escuchar zumbidos en sus oídos. Cuando se despertó, no podía escuchar la voz de su novio.
Se inyecta su propio semen en el brazo para curar un dolor de espalda. Acaba en el hospital

En un nuevo informe clínico, un grupo de médicos irlandeses relató el desconcertante caso de un hombre de 33 años que se había inyectado su propio semen por vía intravenosa durante un año y medio para tratar de “curar” un dolor de espalda crónico. No parece haber funcionado.
Acude a emergencias con la frente hinchada y le encuentran dos gusanos viviendo en la cara

Ocurrió en York, Inglaterra. Una mujer de 55 años acude al médico aquejada de un dolor cada vez más intenso en la frente junto a una prominente hinchazón roja. El primer informe habla de una picadura infectada de algún insecto. Días después la mujer regresa con un dolor indescriptible.
Un estudiante muere 10 horas después de comer pasta de 5 días: el peligroso “síndrome del arroz frito”

El caso se publicó en el Journal of Clinical Microbiology. Un estudiante de Bélgica recalentó los espaguetis que se había preparado cinco días antes y que había dejado en la cocina a temperatura ambiente. Alrededor de 10 horas después de ingerirlos el joven falleció.
Esto es lo que pasa en el interior del cuerpo si te tragas un palillo de dientes y los médicos no lo encuentran durante tres semanas

De manera fortuita (no creemos que exista otra forma), un joven cuyo nombre se ha mantenido en el anonimato ha pasado a los libros de la literatura médica. Se tragó un palillo de dientes sin saberlo mientras comía un sándwich. Esto fue lo que ocurrió en las siguientes tres semanas.
Se come un paquete de castañas sin masticar y el resultado pasa a formar parte de la literatura médica

Una de las primeras cosas que enseñan a los niños cuando aprenden a comer es la importancia de masticar muy bien la comida antes de tragar. El siguiente casoque ha entrado en los registros de la literatura médica es el mejor ejemplo de ello. Incluso si has perdido la dentadura postiza.
Descubre después de dos años con la nariz taponada que tenía un diente creciendo en la nariz

Un hombre de 59 años acude al Hospital Aarhus en Dinamarca aquejado de un orificio nasal izquierdo bloqueado, una secreción extraña y un sentido del olfato reducido. Los médicos examinan su nariz y el resultado es parte de la literatura médica: un diente adicional le crecía en la nariz.
Este hombre tenía la sangre tan blanca y espesa que solo una antigua técnica del siglo XVIII le pudo salvar la vida

Alemania. Un hombre de 39 años se presenta temblando en el Hospital Universitario de Colonia. Los primeros análisis muestran una anomalía: su sangre es tan espesa y blanca que podría confundirse con leche. Para salvarle la vida tuvieron que recurrir a una técnica del siglo XVIII.
Estos dos hermanos australianos son gemelos semi-idénticos y uno de los casos más asombrosos de la literatura médica

Un par de hermanos australianos han pasado a formar parte de algunos de los seres humanos más raros documentados, según los médicos. Cuentan que el hermano y la hermana son gemelos semi-idénticos, que comparten exactamente el mismo ADN del lado de su madre, pero solo una parte de la composición genética de su padre. Se cree que los niños son el segundo caso de gemelos semi-idénticos descubiertos, y el primero en ser identificado durante el embarazo.
Un paciente británico se convierte en el segundo caso en la historia de remisión del virus del sida

En el año 2007, el denominado como “paciente de Berlín” con el virus del sida se convirtió en la primera persona en remitir la enfermedad a través de una transfusión de células madre. Desafortunadamente, aquel sorprendente éxito nunca más se pudo replicar. Hasta ahora.
Un niño de cuatro años chupó durante meses la pintura de sus juguetes. Esto es lo que le pasó a su cerebro

El siguiente caso se publicó en varias revistas de medicina. El mismo sirvió para analizar ciertos peligros a los que están expuestos los más pequeños casi sin darnos cuenta. El relato comenzó cuando JP, como se llamó al crío, llega a urgencias con una fuerte disminución de su coordinación.
Nace en Colombia una niña con su gemelo dentro de ella

Itzamara nació por cesárea a las 37 semanas el 22 de febrero con un peso de 3.2 kilogramos. Sin embargo, una pequeña parte de ese peso no era de ella. Su gemela se encontraba en el interior de la pequeña. Un asombroso y extraño caso de lo que se conoce en medicina como fetus-in-fetu.
Acude al hospital para un chequeo y sale sin prepucio debido a un error

Cuando pienses que has tenido un mal día, recuerda esta historia. Ocurrió en Leiscester, Reino Unido. Un hombre acude al hospital para someterse a una cistoscopia, un procedimiento para observar el interior de la vejiga con una cámara delgada insertada en la uretra. El hombre salió sin parte del pene.
Una mujer escocesa ha vivido toda su vida sin sentir dolor pensando que era lo normal

A lo largo de 60 años, esta mujer escocesa se rompió varios huesos, se quemó la piel y se sometió a una cirugía. Todo ello sin sentir ningún dolor. En ningún momento se paró a pensar si había estado experimentando algo inusual. Ahora es objeto de un nuevo estudio sobre genes y dolor.
Acude al hospital con dolor de cabeza y le encuentran una plaga de gusanos en el cerebro

Ocurrió en un hospital de Faridabad, India. Un joven de 18 años llega aquejado de fuertes dolores en la cabeza y convulsiones, desorientado y con el lado derecho de la ingle afectada durante una semana. Una resonancia magnética revela la causa: una plaga de tenias parasitarias de cerdo, la Taenia solidum.
Le amputan parte del pene después de pasar por una dolorosa erección de 48 horas: un caso de priapismo extremo

Ocurrió en Delhi, India. Un hombre de 52 años acude a urgencias debido a una erección inusualmente sostenida: alrededor de 48 horas. Sin embargo, cuatro días después del inicio de la erección los doctores tuvieron que tomar una decisión drástica ante un caso de priapismo extremo.
Una mujer de 99 años vivió y murió sin saber que la mayoría de sus órganos estaban en el lugar equivocado

Una mujer de 99 años en Oregon vivió una larga vida con una de las condiciones más raras y, a menudo, fatales del planeta: un cuerpo en el que la mayoría de sus órganos principales estaban en el lado equivocado. Aún más asombroso, la mujer permaneció felizmente inconsciente de su inusual situación. Fue solo después de que los estudiantes de medicina y su profesor estudiaron su cuerpo, que donó a la ciencia, cuando se descubrió el extraño arreglo de los órganos.
Esta mujer tenía cuatro abejas atrapadas dentro de su ojo (alimentándose de sus lágrimas)

Es posible que esta noticia no sea tan interesante como el descubrimiento de esos humanos pequeños denominados Homo Luzonensis, pero sin duda se trata de uno de los casos más singulares que hemos escuchado en mucho tiempo. Una mujer tenía cuatro abejas atrapas en un ojo. Bebiendo de las lágrimas.
Sobrevive milagrosamente después de que una barra de hierro le atravesara el cráneo de lado a lado

Aquellos que han trabajado o trabajan en la construcción saben del peligro potencial al que se enfrentan cada día. Sanjay Bahe, un joven de 21 años de Balaghat, en el centro de India, jamás olvidará el día que una barra de hierro le perforó el cráneo.
Una mujer se despierta de un estado de mínima conciencia después de 27 años

Munira Abdulla, una mujer de los Emiratos Árabes, ha recuperado la consciencia y parte de sus funciones después de pasar 27 años en un estado de conciencia reducida (popularmente conocido como coma).
Acude al médico por un extraño zumbido de oídos y le descubren una garrapata en el tímpano
Tal y como les explicó a los médicos el pequeño de 9 años de Connecticut que llegó al Yale New Haven Children’s Hospital, todo ocurrió en cuestión de segundos. De repente, un zumbido en su oído derecho y una sensación extraña. Sin embargo, no había dolor y podía escuchar normalmente. Cuando los doctores observaron el interior de la oreja quedaron sorprendidos.
Un hombre sufre un derrame cerebral por crujirse demasiado el cuello

Un hombre de 28 años en Oklahoma se desgarró una arteria vertebral en el cuello que lo llevó a su cerebro, lo que le hizo sufrir un derrame cerebral, según informa KOCO News. Según el medio, Josh Hader, de Guthrie, Oklahoma, se rompió la arteria simplemente crujiéndose el cuello demasiado.
Acude al médico por un extraño picor en la cabeza y le encuentran una araña anidando en el interior del oído

Ocurrió en el Hospital de la Universidad de Yangzhou, China. Un paciente acude al centro aquejado de una horrible sensación, como si algo estuviera viviendo en el interior de su cabeza picándole en repetidas ocasiones. El hombre no estaba equivocado. Tenía instalada una pequeña criatura que había convertido su oído en su hogar.
Sufre una erección de 9 días tras un accidente con su ciclomotor

La caída de un hombre de un ciclomotor le causó problemas mucho más extraños de los que nadie podría haber imaginado. Según sus médicos, un moretón cerca de sus genitales lo dejó con una erección que duró días, y que con el tiempo lo obligó a hacer una visita a la sala de emergencias para recibir tratamiento. Afortunadamente, los médicos pudieron resolver su extrañacomplicación, y el paciente no sufrió daños permanentes.
Los médicos tuvieron que apagar un incendio en el pecho de un paciente durante una cirugía a corazón abierto

El procedimiento quirúrgico que salvó la vida de un paciente australiano se incendió, y desafortunadamente no lo decimos en sentido figurado. Los médicos dicen que sus intentos de realizar una cirugía cardiaca de emergencia en el hombre fracasaron en un momento dado, cuando se produjo un incendio en la cavidad torácica abierta del hombre. Sorprendentemente, pudieron apagar el fuego y completar la cirugía sin otras complicaciones.
Esta mujer tuvo una enorme tenia viviendo un año en su cerebro, y fue la mejor noticia que le pudieron dar

Pocas veces en la vida te alegras de que los médicos te digan que tienes una tenia en el cuerpo desde hace un año. El caso médico de Rachel Palma es una de esas ocasiones. Cuando le dijeron que tenía un gusano encerrado en su cerebro Palma no podía estar más feliz.
Un niño de 7 años acude al hospital con la mandíbula inflamada. Le extraen más de 500 dientes de la boca

Principios del pasado mes de julio. Al hospital Saveetha Dental College en Chennai, India, llega un pequeño de siete años con dolores y gran hinchazón en la mandíbula inferior derecha. Cuando termina la jornada los doctores no daban crédito. Le habían extraído al niño más de 500 dientes de la boca.
Una mujer sufre quemaduras de segundo grado por la moda de darse baños de vapor vaginales

Una mujer canadiense de 62 años sufrió dolorosas quemaduras de segundo grado en sus genitales tras darse un baño de vapor vaginal en su casa, según el informe del caso médico. La mujer había retrasado una cirugía reconstructiva que necesitaba para tratar una lesión vaginal anterior al incidente.
Va a urgencias tras una operación porque le sangra la garganta. Encuentran dentro su dentadura postiza

Ésta es una historia que te hará tener pesadillas cuando seas mayor. Los médicos dicen que este anciano pasó por un terrible calvario porque sus cirujanos se habían olvidado de quitarle la dentadura postiza, que quedó alojada en su garganta durante una operación.
Una rara condición médica está convirtiendo el pene de este hombre en hueso

Los médicos del Hospital de la Ciudad de Nueva York hicieron un alarmante descubrimiento la semana pasada cuando trataron a un paciente de 63 años tras una caída. Su pene se está convirtiendo en hueso debido a una rara condición médica llamada precisamente osificación del pene.
Un hombre termina en urgencias con los pulmones colapsados después de un maratón de karaoke

La escena tuvo lugar en China. Un hombre de 65 años de la provincia de Jiangxi se encontraba en un karaoke. Tras un maratón cantando una decena de canciones seguidas intentando obtener una notal alta y aguda, el hombre comenzó a sufrir dolor en el pecho y dificultad para respirar. Terminó en urgencias.
Esta mujer vivió con su “gemelo” dentro de ella durante 17 años sin saberlo

Una jover mujer en la India vivió durante casi dos décadas con una de las afecciones médicas más raras e inquietantes que existen, y además sin saberlo. La semana pasada se publicó su caso: la mujer tenía un saco en el que dentro se encontraba su “gemelo”, y que llevaba creciendo en su abdomen desde hace 17 años. Este gemelo tenía pelo, dientes e incluso una columna vertebral.
Un joven queda permanentemente ciego y sordo tras años alimentándose solo de comida ultraprocesada

De pequeños siempre hemos escuchado a nuestros padres citar todo tipo de amenazas difusas para nuestra salud si no nos comíamos las verduras. Un joven británico de 19 años acaba de convertirse en la amenaza más aterradora de qué puede ocurrir si no sigues una dieta saludable.
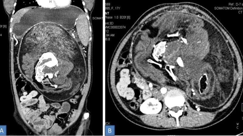
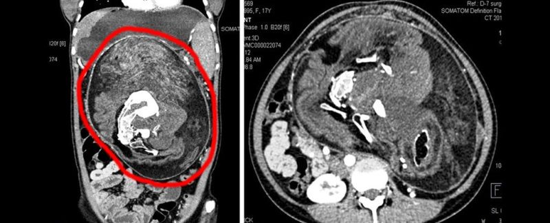
Acude a urgencias por un fuerte dolor de estómago y le encuentran los restos de su gemelo parcialmente formado

Los médicos no daban crédito a los resultados de los primeros análisis. Cuando una joven de 17 años en Patna, India, llegó a urgencias aquejada de un fuerte dolor en el estómago que había crecido hasta distorsionar su cavidad abdominal, los expertos parecían tenerlo claro: debía ser un tumor. Sin embargo, aquella masa tenía dientes.
Mueren tres estadounidenses tras contraer un extraño virus que infecta el cerebro propagado por mosquitos

El lunes, los funcionarios de salud de Rhode Island informaron que un residente había muerto después de contraer el virus de la encefalitis equina oriental (EEE). La muerte marca la tercera fatalidad vinculada a EEE reportada este año, y el segundo caso documentado en menos de una semana.
Esta mujer decidió tratar su dolor de dientes por su cuenta. Terminó con sangre azul

Cuando una mujer de Rhode Island en Estados Unidos decidió tratar su dolor de dientes por su cuenta, terminó con sangre azul debido a una extraña reacción a un medicamento para el dolor. Según sus médicos, la mujer desarrollo una enfermedad rara y de riesgo mortal que le privó de oxígeno y le cambió el color de su sangre.
Una mujer contrajo el síndrome del corazón roto tras confundir wasabi con guacamole

Una mujer confundió el wasabi de una boda con aguacate y terminó en la sala de urgencias de un hospital con una extraña condición médica llamada síndrome del corazón roto.
Un hombre acude al médico con un par de pinzas para el pelo en el interior del pene. Llevaba 4 años con ellas

Un joven de 22 años se presenta en una clínica de Arabia Saudita para dar inicio a uno de los casos médicos más inusuales e inauditos que se han visto en mucho tiempo. El hombre tenía una par de pinzas para el cabello de unos 8 centímetros pegadas en el interior de la uretra. Llevaba cuatro años así.
El escroto de un hombre entra a formar parte de la literatura médica después de pasar 30 años sin pedir ayuda

En un caso descrito en Urology Case Reports y que ha entrado directamente a formar parte de la literatura médica, un hombre de 43 años se presentó en emergencias con signos de fiebre, aumento de la frecuencia cardíaca, y una descomunal hinchazón en el escroto nunca vista antes por los doctores.
Este hombre llevaba varios años ebrio sin beber una gota de alcohol. Su cuerpo elaboraba cerveza

Que tu cuerpo se convierta en lo más parecido a una fábrica de cerveza de forma aleatoria puede parecer divertido para algunos, pero en la realidad es una auténtica pesadilla. El reciente caso de un hombre de 46 años da fe de ello. Y no había tomado ni una sola gota de alcohol.
Este hombre llevó un globo lleno de marihuana en su nariz durante 18 años sin saberlo

Un hombre de mediana edad acudió a un hospital para tratar unos fuertes dolores de cabeza. Cuando le hicieron una tomografía del cerebro, los médicos descubrieron un globo lleno de marihuana en su fosa nasal derecha.
Se corta el dedo tras la mordedura de una serpiente. Los médicos le explican que no era necesario

Demasiada información en el mundo actual, demasiadas películas, demasiados documentales, demasiado internet, foros… pueden acabar deformando la información real ante un evento como, por ejemplo, lo que debemos hacer si nos ataca una serpiente. Un hombre pensó que lo mejor era “cortar de raíz”.
Una mujer se encuentra gusanos parásitos en los ojos después de correr a través de un enjambre de moscas

Una especie de gusano que puede infectar los ojos humanos lo ha vuelto a hacer, y esta vez eligió a una mujer de 68 años de Nebraska. Se cree que la mujer es solo la segunda víctima humana de estos gusanos nunca antes documentados. El incidente indica que podrían convertirse en una enfermedad parasitaria emergente en EE. UU.
Un hombre contrae una extraña enfermedad después de cambiar las sábanas con un edredón de plumas

La inocente decisión de un hombre del Reino Unido de cambiar las sábanas de la cama lo llevó a desarrollar una condición extraña y rara que lo dejó sin aliento, dicen sus médicos. En un nuevo estudio de caso publicado el lunes, detallan cómo el hombre contrajo una rara forma de alergia a las plumas de ave que llenaban su nuevo edredón y almohadas.
Cómo sobrevivió una mujer cuyo corazón dejó de latir durante seis horas

Durante seis horas, el corazón de Audrey Schoeman, una maestra británica de 34 años que vive en Barcelona, se detuvo y dejó de latir. Sin embargo, hoy Schoeman sigue con vida. Así tuvo lugar una de los casos de paro cardíacos más largo que jamás haya registrado la medicina.